83岁的李老太因排便困难
来到新区中医医院就诊
肛肠科锁定直肠肿物
运用内镜黏膜剥离术(ESD)
无创切除直径3cm的肿物
患者7天康复出院!
高龄患者直肠肿物
精准诊断抢占先机
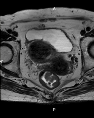
83岁的李老太因排便不畅10天来到青岛西海岸新区中医医院肛肠科门诊就诊。刘艳君副主任医师经肛门指诊发现距肛缘7cm处存在直径约3cm的肿物,初步判断风险后立即安排肠镜检查。

肠镜结果显示为直肠下段侧向发育型肿瘤,直径约3cm,环腔范围达1/2,病理虽提示良性管状腺瘤,但因体积较大不排除局部恶变。
微创手术破解难题
硬核实力守护健康
李老太年龄较大,基础病较多,科室综合评估后,决定采用创伤小的内镜下微创治疗肠镜下黏膜剥离术(ESD),避免传统开腹手术对高龄患者的身体冲击。

术中借助内镜专用器械,将肠道病变与其下方正常的粘膜下层逐步剥离,达到将病灶完整切除的目的。治疗后,李老太7天顺利出院,术中及术后未经历任何痛苦。

7天康复见证实力
微创时代颠覆传统
内镜粘膜剥离术(ESD)是基于EMR技术发展的一项四级消化内镜治疗技术,是治疗胃肠道巨大广基息肉、早期癌及粘膜下病变的首选内镜治疗技术。

患者从手术到出院仅用7天时间,完成了既往需要开腹或腹腔镜等较大创伤才能完成的治疗。具有创伤小的优点,最大限度地保留正常组织和功能。术中无出血并发症,患者易耐受术后无需镇痛干预,整体费用低,颠覆“大手术必大创伤”的认知!
从精准诊断到微创根治
从高龄挑战到快速康复
本例手术是肛肠科技术实力的缩影
胃肠镜下微创治疗
已成为消化道各种良恶性病变
的首选疗方式
让患者以最小代价重获健康肠道
肛肠科咨询电话
0532-86855929
标签:西海岸新区中医医院
- 上一篇: “肾”给力,更健康|肾结石认知的几大误区,看看中招了嘛!
- 下一篇: 没有了




