一根细针,精准消融
青岛西海岸新区中医医院
医学影像科介入诊疗室
成功完成首例
CT引导下肺结节射频消融术
为高龄肺结节患者
开启“无刀治疗”新时代
近日,青岛西海岸新区中医医院医学影像科介入诊疗室在专家指导下成功完成首例CT引导下肺结节射频消融术。该技术通过一根细针精准灭活病灶,为无法耐受传统手术的肺结节患者提供了微创治疗新选择,标志着我院在肺部疾病精准治疗领域取得重大突破。

高龄患者传统疗法风险高
68岁的张大姨曾接受乳腺手术,近期因CT发现右肺上叶及下叶存在两长径约1.4cm、1.6cm高危磨玻璃结节。面对高龄、心肺功能较差等情况,传统开胸手术风险相对较高,患者可能面临术中难以耐受麻醉、术后恢复困难等问题,患者及其家属倾向于进行微创治疗。经过严谨的术前讨论,决定采用CT引导下经皮肺穿刺射频消融术,为患者实施精准微创治疗。
毫米级精准“狙击”之战
手术过程中,医生团队在局麻下经CT扫描后精确定位,将射频消融针准确穿刺至病灶核心区域。消融过程中采用50w功率分别对右肺上叶及右肺下叶病灶消融5min,CT实时扫描显示,病灶周围形成特征性的“治疗性晕征”,表明病灶已被完全覆盖消融。全程患者保持清醒状态,无明显不适感。


什么是肺结节射频消融术?
射频消融术(Radiofrequency Ablation,RFA)是一种微创治疗技术,通过CT影像引导,将特制电极针精准穿刺至病灶部位,利用高频电流产生热能,使肿瘤组织发生凝固性坏死。

射频消融术治疗优势显著
射频消融术为无法手术的肺结节患者提供了有效的治疗选择,相比传统开胸手术,该技术具有创伤小、恢复快、并发症少的显著优势,使高龄、多发结节患者获得根治机会。
1.微创无切口:仅需针眼大小创口,无需气管插管。
2.精准安全:CT实时定位,误差控制在毫米级。
3.恢复迅速:术后24小时内可下床活动,住院时间缩短70%。
4.保护肺功能:最大限度保留健康肺组织,特别适合多发结节患者。

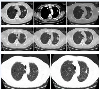
影像资料
左肺上叶病灶消融术后
36个月复查病灶缩小呈瘢痕改变
哪些患者适合此技术?
根据国际权威期刊《Journal of Thoracic Oncology》最新研究,对于≤2cm的早期肺癌,射频消融的5年无进展生存率达89%,与亚肺叶切除术效果相当。特别适合以下人群:
1.高龄衰弱患者。
2.心肺功能差无法耐受传统手术者。
3.多原发肺癌或肺转移瘤患者(病灶≤3-5个,直径<3cm)。
4.拒绝外科手术的患者。
5.术后复发或残留病灶需补充治疗者。

随着低剂量CT筛查普及
肺结节检出率逐年上升
专家提醒:肺结节≠肺癌
大部分可能是安全的“肺部痣”
发现肺结节无需过度焦虑
但应及时到正规医院进行专业评估
医学影像科介入诊疗室
开展的外周综合介入手术
1.CT引导下穿刺活检
在高清CT实时引导下,细针直达体内可疑病灶(如肺部结节、肝脏肿物等),精准获取组织样本。
核心优势:创伤极小(仅针眼大小),安全性高,是明确肿瘤良恶性、病理分型的“金标准”,为制定个体化治疗方案提供核心依据。
适用范围:适用于肺部、肝脏及全身各部位新发占位需确诊者。
2.CT引导下置管引流
在CT精准定位下,将纤细引流管置入积液、积脓或梗阻部位(如胸腔积液、腹腔脓肿、胆道梗阻)。
核心优势:迅速引流有害液体,有效缓解压迫症状(如呼吸困难、腹痛、黄疸),控制感染,显著改善患者生活质量,为后续治疗创造条件。
适用范围:肿瘤引起的恶性胸腹水、梗阻性黄疸、肝脓肿、腹腔脓肿等患者。
3.CT引导下射频消融
在CT实时监控下,将仅如笔芯粗细的射频电极针精准插入肿瘤中心。核心优势:针尖产生高频电流,使周围组织分子剧烈摩擦产生高温(可达80-100℃),瞬间让肿瘤细胞凝固性坏死,达到“烧死”肿瘤的效果。
适用范围:
1、早期原发性小肝癌患者。
2、肝癌术后复发的小病灶患者。
3、肺部磨玻璃结节或实性小结节(≤3cm)高度怀疑早期肺癌者(原位癌、微浸润癌等)。
4、单发或少量(通常≤3个)肺转移瘤患者。
5、因身体原因无法耐受传统手术的患者。
4.DSA引导下外周综合肿瘤介入治疗
在先进的数字减影血管造影(DSA)设备引导下,将纤细导管超选择插入肿瘤的供血动脉。
核心战法
1、栓塞术:注入栓塞颗粒,"堵死"肿瘤血管,切断其营养供应,“饿死”肿瘤。
2、灌注化疗:将高浓度化疗药物直接灌注到肿瘤内部,显著提高局部药物浓度,强力杀伤肿瘤细胞,同时减少全身副作用。
核心优势
1、精准打击:药物/栓塞剂直达病灶,全身影响小。
2、疗效显著:尤其适用于富血供肿瘤(如肝癌、肝转移瘤、部分肺癌等),可有效控制肿瘤生长,缩小病灶。
3、微创安全:仅需大腿根部微小穿刺点。适用人群中晚期肝癌、肺癌、肝转移瘤及其他可通过血管途径治疗的实体瘤患者;常与消融、全身治疗等联合应用。
团队介绍
.png)
李涌 副主任医师
青岛西海岸新区中医医院医学影像科主任兼介入诊疗室主任
从事影像诊断与介入治疗专业工作20余年
2008年中国人民解放军总医院影像科进修影像诊断与介入治疗
2012年在中山大学肿瘤防治中心影像介入科进修外周综合介入半年
获“青岛西海岸新区优秀青年人才“、“青岛西海岸新区五一劳动奖章”等荣誉称号
撰写论文、论著十余篇
科研成果获青岛市科技进步二等奖1项
中国抗癌协会肿瘤消融专业委员会首届、第二届委员
山东中医药学会影像技术专委会委员
青岛中西医结合学会影像专业委员会副主任委员
青岛医学会分子影像学专委会委员

唐浩博 医师 毕业于滨州医学院医学影像学专业
山东省患者安全管理协会肿瘤介入专业委员会委员
先后于西安交通大学第一附属医院影像科及青岛大学附属医院西海岸院区介入医学中心进修影像诊断及介入治疗。进修期间参与人民卫生出版社《CT介入治疗学》第四版编辑工作。现主要从事影像诊断及外周综合介入治疗。
肿瘤虽险,科技赋能!
微创介入技术正以其
精准、高效、恢复快的独特优势
成为对抗肿瘤的重要方式
无论是明确诊断(穿刺活检)
缓解症状(置管引流)
还是追求根治
(射频消融治疗小肝癌、肺癌)
或是控制进展(DSA介入治疗)
青岛西海岸新区中医医院
医学影像科介入诊疗室
以介入技术为“武器”
突破传统治疗局限
提供前沿、优质的解决方案!
就诊地址
青岛西海岸新区中医医院
海南岛路158号
介入诊疗室咨询电话
0532-68974171
- 上一篇: 平度院区 | 娃总生病?三伏贴安排上!儿科医生手把手教你抓住冬病夏治黄金期
- 下一篇: 没有了




