面对94岁超高龄患者
突发罕见结肠后壁穿孔
肠坏死合并腹壁坏死性筋膜炎
多学科诊疗(MDT)
以精准决策、顶尖技术与无隙协作
将老人从死亡边缘拉回
彰显急危重症救治硬核实力!
近日,青岛西海岸新区中医医院多学科团队共同努力下,外一科(普外科)成功手术挽救了一名94岁的罕见结肠后壁穿孔、肠坏死、腹壁坏死性筋膜炎患者。
九旬老人命悬一线
罕见穿孔引爆“腹腔炸弹”
2025年5月26日凌晨3点,94岁的刘奶奶(化名)因“下腹痛1天,加重2小时”于就诊于外院,因保守治疗无效于当日上午12点转到青岛西海岸新区中医医院脾胃病科就诊。

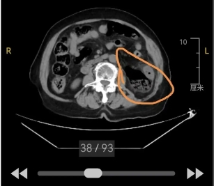
经腹部CT检查提示肠梗阻,外一科韩传学主任会诊后考虑为急性肠梗阻、结肠坏死,不能完全排除肠穿孔可能,已具备急诊手术探查指征!但老人年龄已94岁,身体各器官功能不全,尤其是心肺功能和肾功能均存在不同程度衰竭表现,保守治疗的结局最终是失去生命,手术是唯一的希望!与家属沟通后,家属与医师统一战线,毅然选择背水一战!
MDT“火线集结”
合力定策“超极限手术”
心病科王立珍主任医师、脾胃病科薛文婷主任、肺病科主任于高杰、外二科(胸外科)徐全宽副主任、肛肠科刘艳君医师以及麻醉科宋晓鹏主任专家火速集结共同会诊。多学科研判后,外一科(普外科)韩传学主任带领团队人员急诊全麻下行开腹探查!

术中发现惊心真相
精准配合逆转危局
14时手术开始,真相远超预期......术中发现乙状结肠粪块性梗阻,近端降结肠水肿、局部缺血表现,肠管脏面观无明显破损表现,腹腔无明显渗液及粪水,游离侧腹膜后发现大量粪水溢出,肠壁穿孔并大面积坏死,左侧腹壁受炎症波及出现大面积软组织坏死,证实为罕见的结肠后壁穿孔、肠坏死、腹壁坏死性筋膜炎!

患者94岁心肺功能衰竭,麻醉剂量需精确至“微克级”,麻醉风险极高,在麻醉科医护团队的游离配合下,稳血压、护心肺,外一科团队迅速切除坏死肠管,行近端结肠造口+远端结肠封闭,放置滴水双套管冲洗引流,因腹腔高压、切口污染严重,行Skin Only Closure技术,迅速结束手术,送ICU抢救复苏。
21天“生命闯关”
60000毫升的“生死博弈
在经历了感染性休克、心功能衰竭、肺部感染、电解质紊乱、低蛋白血症、术后肠粘连等多个难关之后,术后第3天患者生命体征逐渐稳定,转至外一科病房继续诊治,持续腹腔冲洗达到60000毫升。在外一科医护团队的共同努力下,患者于手术后21天顺利康复出院,多学科协作创造生命奇迹!
结肠穿孔科普
结肠穿孔
是指各种原因导致结直肠穿孔或破裂,常见病因包括:外伤、结直肠肿瘤、自发性结直肠穿孔、炎症性肠病、结肠憩室炎、结肠血管病变等。结直肠穿孔发病急骤,病情进展迅速,病人可能在短时间内发展为严重死亡;由于病情进展较快,医生常常很难在短时间内明确诊断,且此类疾病急诊手术死亡率高、并发症多,因此临床上诊断和治疗较为困难。

结肠穿孔病因
外伤
腹部钝性伤、锐性伤
非外伤
①梗阻:肿瘤近端肠管穿孔
②缺血:粪块嵌塞、肠系膜血管阻塞性疾病、放射性肠损伤、 靶向药物(如贝伐单抗)
③炎症:炎性肠病、伤寒、憩室等
④病变(肿瘤等)本身穿孔

结肠穿孔时肠内容物会流入腹腔,因为结肠内含有大量细菌,会造成急性弥漫性腹膜炎。一旦发生腹膜炎,病人极易因细菌毒素吸收产生感染性休克,甚至导致多器官功能衰竭,尤其是粪性腹膜炎。另者术后切口感染、吻合口瘘等并发症也常有发生。
外一科简介
青岛西海岸新区中医医院外一科经过40年的发展和几代外科人的共同努力,在诊疗技术和服务能力方面均拥有雄厚实力。目前,外一科开放床位50张,医护人员24人,其中主任医师1人,副主任医师4人,主治医师4人,住院医师4人,副主任护师1人,主管护师3人,护师8人。

科室优势
①胃、结直肠:胃溃疡、胃癌、结直肠癌的规范手术及腹腔镜微创手术,阑尾炎、肠梗阻等急腹症的诊治,顺利开展加速康复外科技术。
②胆道:急/慢性胆囊炎、胆管炎、胆囊息肉、胆石症、胆管癌的系统诊疗及胃肠手术治疗。
③胰腺:急/慢性胰腺炎、胰腺囊肿、胰腺外伤等,胰十二指肠切除及胰体尾切除等手术。
④血管:各种原因引起的周围血管疾病微创介入治疗,大隐静脉曲张的微创手术治疗。

⑤乳腺:急/慢性乳房炎症、副乳、乳腺增生、各种良恶性乳房肿瘤(如乳房纤维腺瘤、肉瘤、乳腺癌)的微创及规范化手术。
⑥甲状腺:甲状腺肿、甲状腺功能亢进、甲状腺炎症、甲状腺肿瘤(如甲状腺腺瘤、甲状腺癌)等规范手术,手术质量在区内位于较高水平。
⑦疝:成人及小儿的腹壁疝的微创手术。

科室人员追求卓越,重视先进治疗理念和诊疗技术的引进及开展,科室骨干多次在国家、省级医疗单位进修和学习,均具备较高的诊疗技术水平和专业素养,在规范化手术治疗方面已具备较高水准。科室全体医护人员在医院三甲平台的资源下,全力以赴为新区人民健康作出更大的贡献。

外一科咨询电话
门诊:86850128
病房:86860206
- 上一篇: 岐黄古韵绽风采!新区中医医院为中国石油大学(华东)国际学生带来中医药文化盛宴
- 下一篇: 没有了




