当“基层首诊”遇上“三甲资源”
一场生命竞速在
青岛西海岸新区中医医院健共体
双向转诊群中悄然启动
在协作机制下终极竞速
换取脑梗救治黄金时间
完成15分钟溶栓奇迹!
转诊“群聊”秒回
三甲专家“云候诊”为生命抢跑
7月1日20:00,家住王台的王大娘突发言语不利,健共体总医院第五人民医院院区朱医生经过初步诊察考虑急性脑血管病,马上在双向转诊群中联系青岛西海岸新区中医医院健共体总医院牵头医院急诊科及脑病科相关人员。健共体总医院牵头医院急诊科李文治医师、脑病科张航医师均第一时间在群内相应,患者未到院,病情已跨院“云会诊”。


DNT时间15分钟!
基层患者上下转诊“医”路畅通
7月1日20:50,患者被送至青岛西海岸新区中医医院健共体总医院牵头医院急诊科,脑病科张航医师已提前到达急诊诊室做好接诊准备!因情况紧急,患者忘记带身份证,家属出示转诊单后迅速开通急诊绿色通道,免去挂号、排队、缴费等一系列流程,在医师陪同下完善颅脑CT。排除出血后结合患者症状及体征,考虑急性脑梗死,患者发病时间在溶栓时间窗内,21:05予以阿替普酶静脉溶栓治疗,DNT时间15分钟!22:30患者完善颅脑磁共振检查示左侧枕叶新发梗死灶,张航医师在群里向健共体总医院第五人民医院院区朱医生反馈,汇报诊治进展,患者言语不利症状明显改善,后收入脑病科病房。

王大娘对健共体转诊服务赞不绝口:“一路上医护人员忙前忙后,检查、治疗一点没耽误,方便、省事、真好!”在健共体快速、协同、高效的合作机制下,王大娘得以在短时间内进行诊疗,充分享受健共体上下联动、优势互补、资源共享的机制“红利”。
脑病介入巧架桥
畅通血管打通“生命通道”
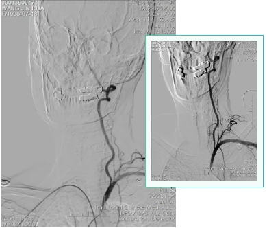
患者入院第2天,脑病科李成君主任带领介入团队为患者完善脑血管造影检查,结果示左侧椎动脉优势并起始处重度狭窄,狭窄率约80%,长度约8mm,结合颅脑磁共振枕叶梗死灶,考虑左侧椎动脉为此次卒中事件责任血管。与患者家属沟通病情、权衡获益与风险后,予经皮穿刺左侧椎动脉起始处重度狭窄球囊扩张并支架植入术,手术过程顺利。王大娘术后安返病房,继续抗板、降脂等急性脑梗死常规治疗,经积极治疗恢复良好,对治疗效果非常满意。

卒中中心简介
青岛西海岸新区中医医院健共体总医院牵头医院卒中中心为山东省卒中防治中心单位,始终秉持以患者为中心的多学科合作模式,实现卒中急救、重症监护、神经介入、康复治疗、健康宣教等多方面优质资源整合。目前能熟练开展急性脑梗死的静脉和动脉溶栓治疗、脑动脉狭窄的支架植入术、脑动脉瘤的介入栓塞术、脑出血的微创和手术等治疗,截止目前已开展各类神经介入手术4000余例,四级手术比例逐年增高;年均溶栓200余例,DNT时间中位数40余分钟。通过不断优化卒中绿道流程建设、完善绿道建设等各项制度,溶栓和介入数量较以往显著提高,DNT时间不断缩短。科室积极与健共体成员单位及社区进行交流合作,派专家定期坐诊,实现疑难患者上转,慢病患者下转,不断提升学科影响力,充分发挥区域带动和辐射作用。

青岛西海岸新区中医医院健共体总医院牵头医院高度重视紧密型县域医联体建设工作,不断梳理、优化健共体转诊流程,致力于促进卫生资源合理应用、提升基层医疗服务能力,不断提升基层患者上下转诊医疗保障水平和综合服务能力,让百姓便捷享受到同质化医疗服务,推动优质医疗资源均衡布局。医院持续提升服务质量与技术水平,为百姓生命健康开通绿色通道,切实提升群众就医满意度,为健康新区建设保驾护航。

- 上一篇: 【产后康复】产后不是终点而是美丽的起点,健康辣妈从此刻开始
- 下一篇: 没有了




