小小个头,不容忽视!
直肠神经内分泌瘤多隐匿发病
早期筛查与精准治疗是关键!
脾胃病科凭借内镜技术
实现此类疾病
“早发现、早切除、早治愈”
为患者筑牢肠道健康防线
大便不成形背后藏隐疾
内镜微创精准除瘤
39岁的王女士(化名)近一个月总被“大便不成形”困扰,起初以为是普通肠胃不适,自行调理后毫无改善,为求明确诊断来到青岛西海岸新区中医医院脾胃病科就诊。


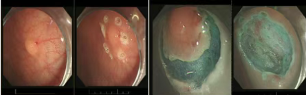
科室医生详细问诊后,为其安排了结肠镜检查。医师在王女士的直肠部位发现了一个直径约0.5厘米的淡黄色光滑小隆起,结合镜下表现特征,高度怀疑为黏膜下肿瘤。为彻底解决病灶,科室团队为其开展内镜黏膜下剥离术(ESD)的微创治疗,在高清内镜视野引导下精准将病灶完整剥离。术后病理结果提示为神经内分泌瘤G1级,属于低级别肿瘤,实现了治愈性切除。
ESD“微雕手术”
镜下切除“隐患”
对于直肠神经内分泌瘤的治疗,精准把握手术方式是关键。脾胃病科采用的内镜黏膜下剥离术(ESD),被誉为消化道病变治疗的“微雕手术”,相比传统开放手术,具有显著优势。


该技术通过人体自然腔道(肛门)插入内镜,仅需在黏膜下进行精准剥离操作,无需开腹、不损伤消化道器官完整性,具有创伤小、出血少、术后疼痛轻、恢复快等特点。对于直径小于2厘米、浸润深度不超过黏膜下层的G1、G2级直肠神经内分泌瘤,ESD可实现一次性完整切除,切缘清晰,病理评估准确,复发风险低,实现“发现即治疗、治疗即治愈”。而对于直径大于2厘米或G3级肿瘤,科室会联合多学科制定根治性手术等综合治疗方案,为患者健康保驾护航。
精准研判
直肠神经内分泌瘤“分级密码”
很多人对直肠神经内分泌瘤感到陌生,这类肿瘤是消化道黏膜下肿瘤的常见类型之一,多数患者早期无明显症状,多在结肠镜检查时发现。根据2019版WHO结直肠神经内分泌瘤分类和分级标准,其恶性程度可通过分级清晰判断。


G1级(低级别)
如同“惰性病灶”,生长缓慢、恶性程度低、转移风险小,多数直径小于1厘米的肿瘤属于此类,预后较好,内镜下切除后复发风险小。
G2级(中级别)
增殖活性中等,有一定侵袭性,转移风险高于G1级,肿瘤大小和浸润深度影响预后,可能需要更积极的治疗,如外科手术或辅助治疗。
G3级(高级别)
恶性程度高,易发生远处转移,预后较差,通常需要综合治疗,包括手术、化疗、放疗等。
医生:像王女士这样的G1级肿瘤,通过内镜下微创切除即可实现治愈,无需后续复杂治疗。
遵循科学随访
筑牢健康防线
根据中国胃肠胰神经内分泌肿瘤专家共识(2022年版),建议直肠神经内分泌肿瘤<1cm者没有固定随访要求,如怀疑复发,建议行内镜检查;肿瘤1-2cm者,每年随访1次;肿瘤>2cm者,每3-12个月随访一次。


青岛西海岸新区中医医院脾胃病科
秉持“早发现、早诊断、早治疗”的理念
依托先进的内镜设备和精湛的微创技术
为辖区群众提供消化道疾病筛查与治疗全流程服务
在此提醒
若出现大便习惯改变、便血、腹痛等不适
或年龄超过40岁
建议及时进行结肠镜检查
为肠道健康保驾护航
脾胃病科咨询电话
病房:86852969
诊室:86850289
- 上一篇: “医说达人”健康科普|肺癌影像学检查,哪些扫描技术更可靠?
- 下一篇: 没有了




