当“保肛困难”的诊断摆在面前
75岁的直肠癌患者来到
青岛西海岸新区中医医院肛肠科
与医疗团队携手打响
“尊严守护战”
在很多人看来,癌症治疗的目标是“活下去”,但对于直肠癌患者而言还有另一个与生存质量息息相关的核心诉求——“保肛”,事关术后生活的体面与自如。青岛西海岸新区中医医院肛肠科团队为一名75岁的直肠癌患者,通过半年的综合治疗逆转“无法保肛”的定论,为患者尊严而战!


困惑!当“保肛”成为难题
2025年4月,75岁的刘爷爷(化名)因“大便频数”在外院被确诊为直肠恶性肿瘤。一个更棘手的问题是肿瘤位置较低,距肛门仅3cm。当地医院评估后认为,传统手术“保肛”非常困难。这意味着,如果直接手术,刘爷爷很可能需要永久性肠造口,也就是挂“粪袋”,生活质量将大打折扣。患者及家属保肛意愿极为强烈,于是,他们带着希望转入青岛西海岸新区中医医院肛肠科寻求新的可能。

第一次肠镜可见肿瘤破局!辅助治疗争取保肛机会
面对患者的强烈意愿,肛肠科医疗团队制定了先辅助治疗再手术的策略,通过放疗、化疗等手段,让肿瘤缩小、降期,从而为后续实现保肛手术争取空间!


精准放疗阶段
2025年4月22日至26日,刘爷爷接受了短程精准放疗,治疗像一把“隐形的手术刀”,开始从内部对肿瘤发起攻击。
化疗联合免疫治疗阶段
放疗休息两周后,自5月5日起,刘爷爷开始了免疫治疗和化疗联合治疗,旨在激活自身免疫力,同时用化疗药物进一步杀伤癌细胞。
严密监控及时处理
治疗并非一帆风顺,刘爷爷出现了大便刺激感、坠痛等预期的放疗副作用,但通过对症处理得以缓解。7月,刘爷爷出现免疫性肺炎,面对这一更严峻的考验,肛肠科医疗团队迅速反应,通过抗生素和规范的激素治疗并逐步减量,最终使肺炎得到有效控制并痊愈。充分体现了在追求疗效的同时,对副作用的严密监控和及时处理同样关键。
曙光!肿瘤显著退缩保肛希望大增
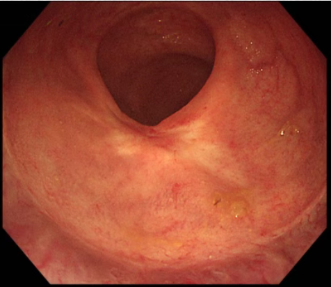
付出终有回报。经过数个周期的系统治疗,7月4日,肛肠科为刘爷爷肛诊时发现肿瘤已明显缩小、软化,甚至不易触及。9月25日,复查肠镜及病理显示原直肠肿瘤处仅见纤维组织增生和炎细胞浸润,未见明确肿瘤残留。乙状结肠的息肉也通过内镜下手术(CSP)顺利切除。


11月6日,关键的盆腔磁共振评估结果令人鼓舞,治疗后的肿瘤分期预估已降至 T2N0M0,这是重大的阶段性胜利!从最初“保肛困难”的判定,到肿瘤得到极大控制、分期降低,刘爷爷的“保肛长征”迎来决定性的曙光。目前的影像评估结果,已为后续可能的保肛手术创造了极为有利的条件。
收官!手术台上实现终极目标
经过周密的术前准备和多学科团队的再次评估,2025年11月28日,肛肠科为刘爷爷开展手术,采用先进的腹腔镜微创技术,在确保肿瘤根治的前提下,成功保留了肛门结构和功能!


刘爷爷的故事充分展现了肛肠科直肠癌治疗的实力,不局限于“一刀切”的模式,而是通过新辅助治疗实现肿瘤降期,再施行精准手术,真正实现了“根治肿瘤”与“保留功能”的双重目标。





治疗后第一次复查,残留溃疡面


第二次复查,仅残留细小溃疡面


第三次复查溃疡基本愈合
医疗的目标,是生命的长度与宽度。患者的坚定意愿与医疗团队的精准施治相结合,才能创造出这样的良好结果,生命的尊严,在每一次不放弃的争取中熠熠生辉!
肛肠科咨询电话
0532-86855929
.png)




