医者之心,澄明如镜,波澜不惊,映照世间百态。众生若有疾,医者视如己痛,感同身受,不离不弃。
近日,平度市人民医院心内科及介入科医护团队在李晓君主任医师、卢永艳主任医师的带领下,凭借精湛的医术与暖心的服务,成功为一名74岁高龄、因身体条件无法耐受传统开胸手术的心脏病患者,实施了一例高难度的冠脉介入治疗手术。这一成功案例,不仅驱散了患者家属心头的阴霾,更赢得了他们高度赞誉与衷心的感谢,生动诠释了“以人为本、生命至上”的医学真谛。

患者郭女士的求医之路,充满了焦虑与曲折。此前,她因突发心脏不适在外院就诊,经检查后被明确告知:“冠状动脉病变严重,必须进行开胸搭桥手术。”然而,“开胸”二字对于一位年逾古稀的老人而言,意味着巨大的手术创伤、漫长的恢复周期以及难以预估的并发症风险。家属们深知老人身体难以承受如此重创,一时间陷入深深的焦虑与无助之中,仿佛走到了医疗选择的绝境。峰回路转,希望常在。经亲友极力推荐,患者家属怀揣着最后一线希望,带着厚厚的检查资料,慕名找到心内科卢永艳主任。面对这份沉甸甸的信任和极其复杂的病情,卢永艳主任没有片刻迟疑,更没有轻言放弃。她细致、耐心地审阅了全部病历与影像资料,结合其数十年来积累的丰富临床经验,对患者的全身状况、心脏功能及病变血管情况进行了全面而深入的评估。
精准研判,明晰战场:冠脉造影揭示严峻挑战
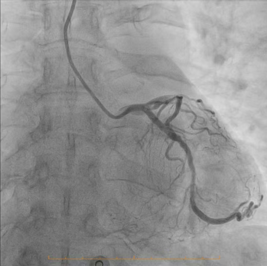
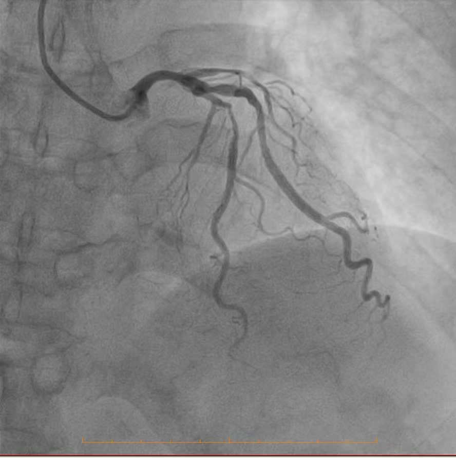
为了制定万无一失的手术方案,必须首先精准“侦察”敌情。团队为患者进行了冠状动脉造影检查,结果清晰地揭示了心脏血管内严峻的形势:造影显示,患者冠脉分布呈右优势型。左主干未见明显异常,这为手术提供了一个相对安全的基础。然而,危机四伏:前降支——心脏最重要的供血血管之一,其近段开口处及以下部位存在约80%的严重狭窄,而中段更是出现了高达90%的极重度狭窄,血流已岌岌可危,是引发严重心绞痛甚至心肌梗死的主要“罪犯血管”。回旋支近段亦存在约60%的狭窄,影响了侧壁的血液供应。情况最为凶险的是右冠脉,其近段有50%的狭窄,而中段以下已经完全闭塞,远段仅能依靠来自左冠脉系统的微弱逆灌注血流勉强维持,这解释了患者为何症状如此严重,生命时刻受到威胁。

冠脉造影影像1

冠脉造影影像2

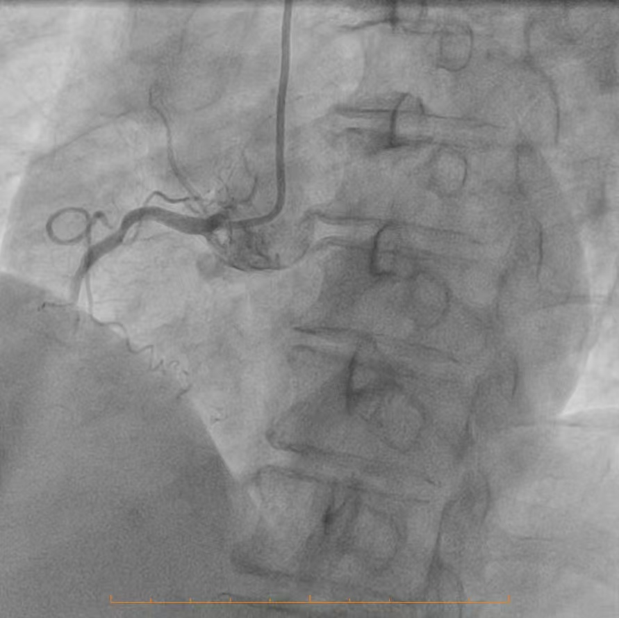
冠脉造影影像3

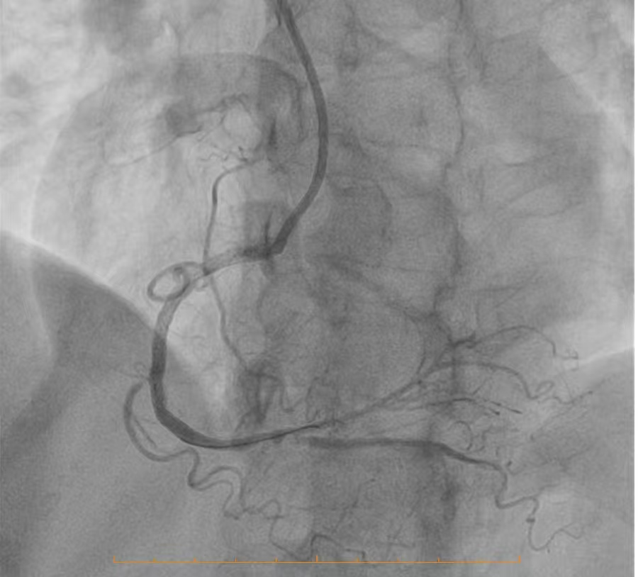
开通后的冠脉影像4
这份造影报告,如同一张错综复杂、险象环生的“作战地图”。前降支的多处严重狭窄与右冠脉的慢性完全闭塞,共同构成了一个高危、复杂的冠心病诊断。传统的开胸搭桥手术风险极高,而介入治疗同样面临着巨大的技术挑战,尤其是在开通慢性完全闭塞病变(CTO)时,犹如在险峻的峭壁上开路,对术者的技术、经验、耐心和心理素质都是极致的考验。
迎难而上,妙手打通“生命线”
面对如此复杂的病情,李晓君主任与卢永艳主任带领团队进行了周密的术前讨论。她们权衡利弊,最终决定迎难而上,为患者实施冠脉介入开通治疗。这一决策,源于对自身技术的充分自信,更源于为患者寻求最佳治疗效果的仁心。手术当日,导管室内气氛紧张而有序。在李晓君主任和卢永艳主任的精准操作下,导管导丝如同被赋予了生命,在纤细的血管中游刃有余地前行。他们沉着冷静,目光如炬,每一个动作都精准有序,力求在解除病痛的同时,最大限度减少对患者的生理干扰。挑战最大的无疑是开通右冠脉那段已经完全闭塞的血管。这需要术者凭借高超的手法,在几乎无路可循的病变中,重新开辟出一条生命的通道。团队密切配合,运用娴熟的技术,巧妙应对各种突发情况。最终,奇迹诞生——原本闭塞的右冠脉被成功开通,并顺利植入了支架,恢复了畅通的血流。整个高难度手术过程,仅用时约半小时顺利结束!这不仅是一次技术上的胜利,更是一次对患者身心的最大保护。手术避免了开胸的巨大创伤,仅通过一个小小的穿刺点,便解除了困扰患者多时的顽疾,为他赢得了更高的生活质量和宝贵的生命希望。
温情守护,谱写医患和谐乐章
技术治愈疾病,而关怀抚慰心灵。手术过程中,田海燕护士长及全体护理团队始终守护在患者身旁。他们不仅提供了专业、细致的生命体征监测和管路护理,更时刻关注着患者的情绪变化。“大姨,别担心,手术很顺利,我们都在陪着您。”“深呼吸,放松,您做得非常好。”一句句温暖人心的鼓励,一次次轻柔的安抚,如同和煦的春风,吹散了患者心中的恐惧与不安。躺在手术台上的郭女士,不禁感动落泪,这泪水,是解除病痛后的释然,更是被深深关怀后的触动。手术的成功仅仅是康复之路的起点。在后续的康复期间,心内科的医护人员始终秉持“以患者为中心”的服务理念,每日查房细致观察,耐心解答家属的每一个疑问,从用药指导、饮食建议到康复锻炼,事无巨细,用专业与关怀陪伴患者平稳渡过术后关键期。这种全程、连续的暖心服务,赢得了患者及家属的深度信任与真挚感激。

患者家属在情真意切的感谢信中动情地写道:“是卢永艳主任、李晓君主任及全体医护人员,用她们精湛的职业精神与贴心的服务,让我们在医院感受到了家一样的温暖。”这封感谢信,纸短情长,不仅是对心内科医护团队医术医德的最高肯定,也是对我院“以人为本、生命至上”服务理念的最佳诠释。
此次高龄高危患者复杂冠脉介入手术的成功,再次彰显了平度市人民医院心内科与介入科在心血管疾病诊疗领域,特别是高危、复杂病例处理上的雄厚技术实力与卓越的团队协作精神。今后,我们将继续秉持仁心仁术的初心,不断攀登技术高峰,提升医疗服务质量,用温情与专业守护每一位患者的生命健康,为更多家庭点亮希望的灯火。
- 上一篇: 【学科建设】5分钟超声精准穿刺,破解患者颈部肿物诊断难题
- 下一篇: 没有了




