近日,青岛市海慈中医医疗集团胸外科成功为一位55岁车祸伤后、多发肋骨骨折合并血气胸、皮下气肿、肺损伤、连枷胸及呼吸功能障碍患者实施了全麻下“胸腔镜辅助下肋骨骨折内固定术+胸腔探查止血术+肺修补术”,术后患者恢复良好,当前已康复出院。该手术的顺利完成,标志着集团胸外科微创手术技术再上一个新台阶。
55岁的张先生车祸受伤严重,被紧急送到集团急诊中心救治,经CT检查显示,右侧第4-12肋骨多根多处骨折,右侧气胸、胸腔积液(积血可能),右肺渗出性改变,考虑创伤性湿肺,左肺坠积性改变,气管及左右主支气管痰液潴留,右咽旁、右颈部、胸腰背部、右上肢软组织区广泛积气。查体见连枷胸,反常呼吸,吸氧状态下仍无法维持氧饱和度在正常状态。
集团胸外科马虹飞主任介绍,患者创伤严重,存在连枷胸致反常呼吸、顽固性胸痛(强痛定治疗效果欠佳)、进行性血胸、骨折断端进入肺内导致生命体征不平稳、创伤性湿肺有ARDS风险、广泛性皮下及胸壁气肿等问题。
胸外科专家团队经过术前讨论一致认为,患者手术风险大,却是其重获生存之机的唯一希望。在麻醉科与ICU的大力协助下,紧密协作,在严格的手术风险评估后,经过团队的不懈努力,充分评估患者的病情后,以微创快速康复理念为原则,制定手术详细方案,讨论手术中的难点和可能出现的问题,并制定好相关应急预案。胸外科团队凭借丰富的手术经验,为患者实施胸腔镜辅助下肋骨骨折内固定术+胸腔探查止血术+肺修补术。术中清理了胸腔积血并止血,复位了插入肺组织的肋骨断端,对5根移位明显的肋骨进行了解剖型钛板内固定术,修补了肺组织损伤。
术后次日,患者疼痛明显减轻,生命体征稳定,氧饱和度回复正常,广泛皮下及胸壁颈部气肿开始减轻,已可以下床活动+术后辅助呼吸功能锻炼。
术后48小时,拔除胸腔引流管(引流量<30ml)。
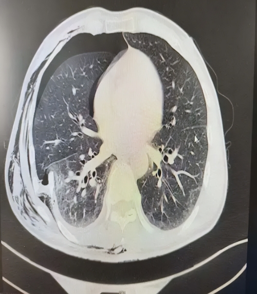
术后5天CT复查结果满意,肋骨骨折固定可,肺复张良好。
术后7天复查MR提示肩袖损伤,已转骨科继续治疗。
专家介绍,对这种胸外科手术患者,尤其是严重创伤患者,术后切口疼痛和引流管导致的疼痛也不容忽视,术中采用胸腔镜引导下肋间神经阻滞(TINB),通过手术切口使用持针器将22G头皮针(带输液管)置入胸腔。在操作简便性和成功率方面,TINB展现了明显的优势,术后疼痛明显减轻,患者可以早下床进行肺功能锻炼,大幅缩短了手术后康复和住院时间。
专家团队
马虹飞
本部胸外科主任
副主任医师
集团本部胸外科主任,副主任医师,硕士研究生导师,日本藤田医科大学病院访问学者。现任中国肺癌联盟山东中青年联盟常委,山东省医学会胸外科分会委员,山东省研究型医院协会肺外科分会委员,山东省医师协会肺结节外科精准医疗医师分会委员,青岛市医学会胸外科专业委员会委员,青岛市抗癌协会肿瘤营养与支持治疗专业委员会副主任委员,青岛市抗癌协会分子靶向治疗专业委员会委员。2020贵州省安顺市突出贡献支医专家,安顺市支医特聘专家。
擅长:肺结节、肺癌、纵膈肿瘤、手汗症、食管癌、肺大疱等疾患的诊疗,对微创胸腔镜手术及纵隔淋巴结清扫造诣深厚。
坐诊时间和地点:
周一全天、周五上午(本部)
刘振波
平度院区胸外中心主任
主任医师
集团平度院区胸外中心主任,主任医师,国家老年肺结节多学科诊疗联盟专家委员会委员,中国抗癌协会会员,山东省医师协会肺结节外科精准医疗医师分会委员,山东省医学会胸外科分会委员,山东省医学会心血管外科分会委员大血管病学组成员,山东省医师协会心外科医师分会委员,山东省医师协会体外生命支持专业委员会委员,山东中医药学会胸外科专业委员会常务委员,山东省疼痛医学会胸外科专业委员会常务委员,山东省临床肿瘤学会食管癌专家委员会第一届委员会常务委员,山东中西医结合学会胸外科专业委员会委员,山东省研究型医院协会胸壁外科分会委员,山东省康复医学会第一届心血管外科分会委员,青岛市医学会胸外科分会副主任委员,青岛市老年协会胸外科委员会副主任委员。青岛市医学会心血管外科学专科分会委员。
擅长:胸腔镜微创手术,肺结节早期诊断及治疗,肺癌、食管癌、纵隔肿瘤的微创手术治疗及术后综合治疗。对老年难治性气胸及重症胸部外伤救治经验丰富。
坐诊时间和地点:
周四全天(本部)
吕英义
副主任医师
集团本部胸外科副主任医师,医学博士。毕业于山东大学医学院硕博连读。先后在青岛大学医学院附属医院胸外科进修学习1年、山东大学齐鲁医院硕士2年、山东省立医院博士3年。青岛市医学会胸外科分会委员、青岛市老年医学会胸外科分会委员。在《中华胸心血管外科杂志》、《中国胸心血管外科临床杂志》和《中国实用外科杂志》等国内外期刊发表论文20余篇。
擅长:胸腔镜微创手术治疗肺结节,包括亚肺叶切除(肺段和肺楔形切除)、肺叶切除、袖式和双袖式肺癌根治术、肺大疱和纵隔肿瘤切除、食管良恶性疾病和胸部创伤的手术治疗;熟练开展各种开放手术治疗气管肿瘤、侵袭性胸腺瘤和胸腺癌等复杂胸部疾病。对胸部复杂疑难疾病有精准的解析和处理能力。
坐诊时间和地点:
周三上午(本部)
马在启
副主任医师
集团本部胸外科副主任医师,山东省医学会胸外科分会委员、山东省医学会胸外科分会人工智能与机器人学组委员、山东省疼痛医学会胸外科专委会委员、山东省老年医学会肿瘤多学科会诊专业委员会委员、山东省临床肿瘤学会胸外科分会委员、青岛市医学会胸外科分会委员、青岛市老年医学会胸外科分会委员、中国临床肿瘤学会(CSCO)会员等。
擅长:肺结节、肺癌、食管癌、纵隔肿瘤、胸部外伤等的规范化诊疗,尤其在三维重建指导下,精准肺叶、肺段、肺亚段、联合肺亚段切除等胸腔镜微创手术方面经验丰富,擅长以手术治疗为主的胸部肿瘤的综合治疗,如早期肺癌、中晚期肺癌、食管癌、纵隔肿瘤等。
坐诊时间和地点:
周二上午(本部)




