近日,青岛市海慈中医医疗集团本部泌尿外科为一名复杂肾肿瘤(肾门部肿瘤)患者实施高难度腹腔镜下肾部分切除术,成功保肾,再次打赢了一场艰难的“肾脏保卫战”!

69岁的徐先生查体发现左肾肿瘤,平时无腰痛、血尿等不适症状,腹部未及包块。对于早期的、位于肾脏表面的、便于操作的肾癌可选择肾部分切除。对于特殊部位(肾门、肾窦)的早期肾癌,因手术难度较大,可根据术者的技术水平和经验、医院的医疗条件、患者的情况等综合考虑,选择性行肾部分切除术。
肾部分切除术的理想目标是要达到三连胜:
完整切除肿瘤保证切缘阴性➪最大限度保留正常肾单位的功能➪避免近期和远期并发症。

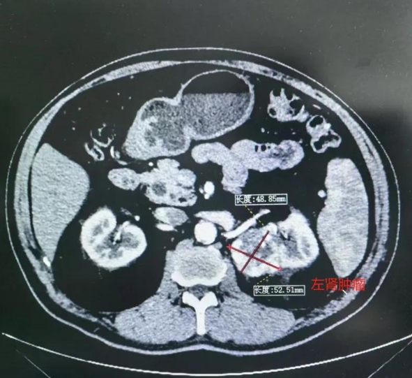
肾脏增强CT
集团泌尿外科专家团队研究患者病情,由于该例患者的肿瘤位于左侧肾门部,偏肾上极内侧,肿瘤最大直径约52mm,紧贴左肾动脉,属于特殊部位的肾脏肿瘤。并且,患者身体素质较差,有多年的糖尿病、慢性肾衰竭、冠心病心脏支架置入术、肺脓肿病史,行保留肾单位的肾部分切除术,可能会因术中出现血管损伤、完整切除肿瘤困难等情况,更改手术方式为肾根治性切除,保肾难度及手术风险较大,如保肾不成功,患者将失去更多的肾单位,肾衰病情可能会进一步加重,因此,患者的保肾需求及意愿极其强烈。
鉴于患者的复杂病情,泌尿外科盖文涛主任团队组织了术前讨论,针对手术方式及入路的选择、术中可能出现的意外情况及处置对策、术中切除肿瘤及缝合创面的具体技巧、术后快速康复等相关问题,进行了深入的讨论并制定了详尽的计划。在相关科室的协助下,调整好患者的血糖、血压水平及心肺功能状态。

术中热缺血时间30分钟,肿瘤完整切除
高难度复杂腹腔镜下肾部分切除术如期进行,术中肾脏创面缝合确切,术后第1天患者即可适度下床活动,术后第2天拔除伤口引流,目前患者正在进一步康复中。
肾癌科普小知识
肾细胞癌发病率占成人恶性肿瘤的3%~ 5%, 在男性泌尿系统恶性肿瘤中仅次于前列腺癌和膀胱癌。发病高峰为60 ~ 70岁,中位诊断年龄为64岁。病因尚不明确,与遗传、吸烟、饮酒、肥胖、高血压及降高血压药物、糖尿病等有关。
吸烟、肥胖和高血压病是目前公认的肾细胞癌危险因素,60%的患者与上述三种因素相关。因此,戒烟、控制体重和高血压是预防肾细胞癌发生的重要措施(强烈推荐)。
肾细胞癌的典型临床表现为血尿、腰痛、腹部肿块三联征,以血尿最为常见,而同时有三联征的情况不到10%,如出现则提示肿瘤晚期可能。有极少病例可能出现肾周血肿。肾细胞癌还有一些肾外表现(副瘤综合征),包括高血压、贫血、体重减轻、恶病质、发热、红细胞增多症、肝功能异常、高钙血症、高血糖、红细胞沉降率增快、凝血机制异常等。
在能够保证安全的前提下,采用腹腔镜下肾部分切除术,相比开放手术,具有微创、切口美观、恢复快等优点。
专家团队

盖文涛
副主任医师
集团本部泌尿外科主任,副主任医师,医学博士,毕业于山东大学医学院,从事泌尿外科临床工作20余年,曾在北京301医院泌尿外科进修。兼任山东省医学会泌尿外科分会委员、山东省医学会男科学分会委员、山东省医师协会泌尿外科分会中西医结合学组副组长、山东省研究型医院协会泌尿肿瘤学分会常委、山东省中医药学会男科学分会常委、青岛市中西医结合学会泌尿外科分会副主任委员、青岛市老年医学会泌尿外科专委会副主任委员、青岛市健康科技协会泌尿外科分会副主任委员、青岛市医学会泌尿外科分会感染与尿控学组副组长等。
擅长:前列腺增生、泌尿系结石、泌尿系肿瘤(包括肾上腺肿瘤、肾肿瘤、输尿管肿瘤、膀胱肿瘤和前列腺肿瘤)的腔镜微创手术治疗以及女性压力性尿失禁、儿童隐匿性阴茎的手术矫形治疗和膀胱癌、前列腺癌的综合治疗。
坐诊时间:
周三上午、周四下午(本部院区)

王友宝
主任医师
集团平度院区泌尿外科主任兼首席专家,主任医师。毕业于同济医科大学,曾在美国加州大学洛杉矶分校和新加坡中央医院进修学习。兼任青岛市泌尿外科学会、男科学会副主委,山东省中西医结合泌尿外科学会副主委,山东省中医药学会男科分会副主委,山东省泌尿外科学会、男科学会委员。
擅长:腹腔镜肿瘤根治手术,泌尿系结石微创手术和中医药治疗,经尿道前列腺等离子电切术,以及男性不育、性功能障碍、慢性前列腺炎等疾病的中西医结合治疗等。
坐诊时间:
周五下午(本部院区泌尿外科)
周五上午(本部男科门诊)
周四全天(北院区)
周一上午、周三下午(平度院区)

韩韬
主任医师
集团本部泌尿外科主任医师,集团外二党总支书记,青岛大学医学院兼职教授,青岛大学硕士研究生导师,青岛市优秀青年医学专家,兼任新家坡泌尿外科会员。先后在德国肯普滕医学中心研修、新加坡中央医院研修。山东省中西结合泌尿外科学会常务委员,青岛市循证医学会副主任委员。
擅长:各类微创手术,包括经尿道前列腺切除、膀胱镜下膀胱肿瘤切除,肾肿瘤切除,腹腔镜肾上腺切除、输尿管镜下钬激光碎石,PCNL,腹腔镜输尿管结石切开取石术等微创手术。对男性不育、性病也有深入研究。在山东省率先开展经尿道ALLIUM前列腺支架植入术治疗高龄高危前列腺增生症。
坐诊时间:
周一上午、周三下午(本部院区)

祝昌明
主任医师
集团本部泌尿外科副主任,主任医师,医学硕士,青岛市优秀青年医学专家,先后在北医三院、浙江大学第一附属医院、湘雅医院进修学习,兼任山东省中西医结合泌尿外科委员、中华医学会山东省泌尿外科青年委员、山东省男科青年委员、青岛市泌尿外科委员、青岛市男科委员、青岛市移植学会委员、中国性学会委员。
擅长:腹腔镜下泌尿系肿瘤的微创治疗,泌尿系结石、前列腺增生的微创治疗,男科疾病的诊治。
坐诊时间:
周二全天(本部院区)

来晓东
副主任医师
集团泌尿外科副主任(平度工作),副主任医师,曾于301医院进修泌尿外科微创治疗技术,清华长庚医院学习泌尿结石的经皮肾镜及输尿管软镜积水。任山东省医学会泌尿外科专业委员会肿瘤学组委员、山东省医师协会结石委员会委员。核心期刊发表医学论文多篇。主持完成科技成果2项。
擅长:泌尿男生殖系肿瘤、泌尿系结石、前列腺等疾病的诊断和治疗;开展多项腹腔镜泌尿系统手术,复杂结石诊治及前列腺增生的激光治疗等高难度手术。
坐诊时间:
周日下午(本部院区)

曲江磊
副主任医师
北院区泌尿外科学科负责人,副主任医师,医学硕士。兼任山东省第五届男科学分会前列腺学组委员,山东省医学伦理学会泌尿外肿瘤外科分会委员,山东省医师协会泌尿外中西医结合学组委员,青岛市抗癌协会第一届泌尿生殖系统肿瘤专业委员会委员,青岛市医学会第六届泌尿外科学分会肾肿瘤学组委员等。
擅长:腹腔镜肿瘤手术,泌尿系结石微创手术和中医药治疗,经尿道前列腺等离子电切术。以及男性不育、性功能障碍、慢性前列腺炎等疾病的中西医结合治疗等。
坐诊时间:
周一上午(本部院区)
周二、周三全天(北院区)

徐向前
副主任医师
集团本部泌尿外科副主任医师,医学硕士,医学理论知识扎实,临床经验丰富。
擅长:开展腹腔镜、输尿管镜、电切镜等微创泌尿外科技术,擅长对泌尿系结石、肾上腺肿瘤、肾癌、膀胱癌、前列腺癌、前列腺增生的微创治疗,以及肾移植相关疾病治疗。
坐诊时间:
周一下午、周四上午(本部院区)

郭晓刚
副主任医师
集团本部泌尿外科副主任医师,兼任山东省医师协会前列腺外科委员会委员、山东省康复医学会泌尿盆底疾病委员会委员、山东省中西医结合泌尿外科学会委员、青岛市中西医结合委员会委员、青岛市肿瘤学会委员。
擅长:前列腺增生、膀胱肿瘤、肾肿瘤的微创治疗,泌尿系结石的微创治疗;前列腺癌的内分泌及中西医综合治疗。中西医辨证施治前列腺炎、尿频、尿急、泌尿结石、盆底功能障碍、男科疾病。
坐诊时间:
周日上午(本部院区)

王磊
副主任医师
青岛大学医学院硕士研究生毕业,副主任医师,曾在北京大学第三医院进修,主要学习泌尿内镜诊疗技术及男科诊疗技术,现为山东省医学会男科委员会委员,山东省中西医结合学会第三届男科委员会委员,青岛市医学会男科学专科分会委员会委员,青岛市抗癌协会泌尿男生殖系统肿瘤委员会委员。参与省级课题一项,发表论文5篇。
擅长:泌尿外科、男科的微创腔镜诊疗技术。
坐诊时间:
周五上午(本部院区)
- 上一篇: 毫米级精准“狙击”,一针微创化解危机!新区中医医院成功开展首例肺结节射频消融术
- 下一篇: 没有了




