在与肿瘤的“拉锯战”中
创伤更小、治疗更精准、康复更快速
是每一位患者及家属的期盼
青岛西海岸新区中医医院
医学影像科介入诊疗室
现已开展多项
外周综合微创介入技术
用精准微创的科技之力
为您的生命健康保驾护航!
近日,青岛西海岸新区中医医院医学影像科介入诊疗室联合肝胆病科、外一科以及青医附院介入团队,成功开展多例DSA引导下胰腺肿瘤、肝脏肿瘤、血管瘤栓塞及化疗药物灌注治疗,为肿瘤患者带来希望!

治疗前
详细评估,个性化治疗
治疗前,医师与患者通过详细沟通,了解病情、病史、症状等情况,通过心电图、血常规、肝肾功能、B超、增强CT等检查结果,评估确定患者是否适合进行介入治疗,向患者及家属解释介入治疗过程、预期疗效以及可能的风险和并发症。
治疗中
密切监测,专业化守护
在治疗过程中,医疗团队通过穿刺患者血管将药物直接作用于肿瘤部位,密切关注患者生命体征和症状变化,确保患者的安全和舒适,及时调整治疗方案,以保证手术效果良好。
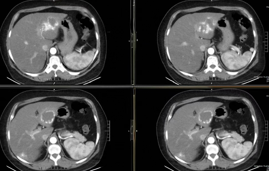
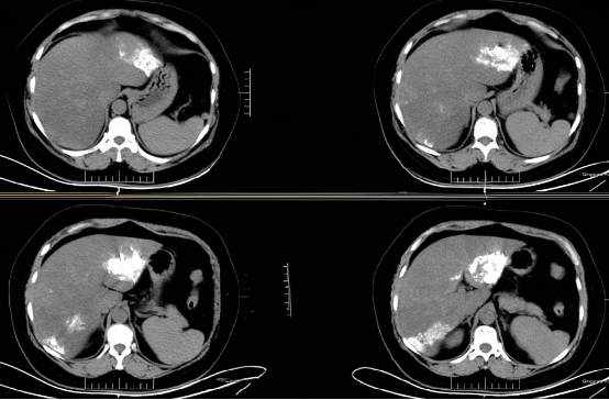
病例分享一

术前增强CT示肝内多发血管瘤
.png)
.png)
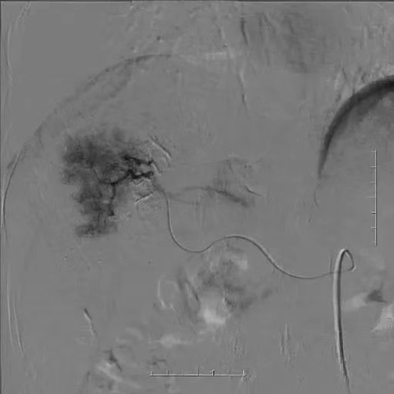
术中造影及栓塞
.png)
术后复查CT,瘤体内碘油沉积良好
病例分享二
.png)
术前增强CT示肝右叶肿块伴门脉瘤栓形成
.png)
术中造影、栓塞、注射化疗药物
.png)
术后复查CT,可见瘤体内碘油沉积良好
医生:目前,医学影像科介入诊疗室可开展的外周综合介入手术如下!
开展的外周综合介入手术
01.CT引导下穿刺活检:精准诊断,明确方向!
技术优势
在高清CT实时引导下,细针直达体内可疑病灶(如肺部结节、肝脏肿物等),精准获取组织样本。
核心价值
创伤极小(仅针眼大小),安全性高,是明确肿瘤良恶性、病理分型的"金标准",为制定个体化治疗方案提供核心依据。
适用人群
肺部小结节性质不明者、肝脏及全身各部位新发占位需确诊者。

02.CT引导下置管引流:快速缓解,减轻痛苦
技术优势
在CT精准定位下,将纤细引流管置入积液、积脓或梗阻部位(如胸腔积液、腹腔脓肿、胆道梗阻)。
核心价值
迅速引流有害液体,有效缓解压迫症状(如呼吸困难、腹痛、黄疸),控制感染,显著改善患者生活质量,为后续治疗创造条件。
适用人群
肿瘤引起的恶性胸腹水、梗阻性黄疸、腹腔脓肿等患者。

03.CT引导下射频消融:微创根治,高温灭活
技术优势
在CT实时监控下,将仅如笔芯粗细的射频电极针精准插入肿瘤中心。针尖产生高频电流,使周围组织分子剧烈摩擦产生高温(可达80-100℃),瞬间让肿瘤细胞凝固性坏死,达到"烧死"肿瘤的效果。
1、极致微创:仅需1-2个针眼,无需开胸开腹。
2、精准高效:CT全程引导,误差小于毫米级,像精准制导导弹般锁定病灶。
3、根治潜力:尤其适用于早期小肝癌(≤3cm)和特定肺部磨玻璃结节/小结节(≤3cm),可达到与手术相似的根治效果!
4、恢复神速:术后疼痛轻微,通常当天或次日即可下床活动,住院时间大大缩短(通常3-5天)。
5、保护脏器:最大限度保留健康肺组织或肝组织功能。
6、适应广泛:为高龄、心肺功能差、不能耐受或不愿手术的患者提供了宝贵的根治机会。
适用人群
1、早期原发性小肝癌患者。
2、肝癌术后复发的小病灶患者。
3、肺部磨玻璃结节(GGN)或实性小结节(≤3cm)高度怀疑早期肺癌者(原位癌、微浸润癌等)
4、单发或少量(通常≤3个)肺转移瘤患者。
5、因身体原因无法耐受传统手术的患者。


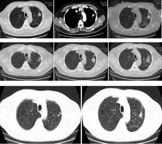
左肺上叶病灶消融术后,病灶缩小呈瘢痕改变
04.DSA引导下肿瘤介入治疗:血管靶向,阻断供给
技术优势
在先进的数字减影血管造影(DSA)设备引导下,将纤细导管超选择插入肿瘤的供血动脉。
核心战法
1、栓塞术:注入栓塞颗粒,"堵死"肿瘤血管,切断其营养供应,"饿死"肿瘤。
2、灌注化疗:将高浓度化疗药物直接灌注到肿瘤内部,显著提高局部药物浓度,强力杀伤肿瘤细胞,同时减少全身副作用。
核心优势
1、精准打击:药物/栓塞剂直达病灶,全身影响小。
2、疗效显著:尤其适用于富血供肿瘤(如肝癌、肝转移瘤、部分肺癌等),可有效控制肿瘤生长,缩小病灶。
3、微创安全:仅需大腿根部微小穿刺点。
适用人群
中晚期肝癌、肺癌、肝转移瘤及其他可通过血管途径治疗的实体瘤患者;常与消融、全身治疗等联合应用。

新区中医医院介入诊疗优势
01.顶尖设备护航:配备国际先进的DSA机、多排高清CT,为精准操作提供"火眼金睛"。
02.权威专家团队:联合影像科、内科、外科以及青医附院介入专家团队等多学科协作(MDT),为每位患者量身定制最佳方案。医学影像科介入诊疗室外周综合介入医师团队拥有主任医师一名,副主任医师一名,医师两名。
03.技术体系全面:形成覆盖肿瘤诊断、姑息治疗、根治性治疗的全链条介入诊疗体系。
04.微创人文关怀:始终秉承"微创化、精准化、个体化"理念,最大限度减少患者痛苦,加速康复。
肿瘤虽险,科技赋能!
微创介入技术正以其
精准、高效、恢复快的独特优势
成为对抗肿瘤的重要方式
无论是明确诊断(穿刺活检)
缓解症状(置管引流)
还是追求根治(射频消融治疗小肝癌、肺癌)
或是控制进展(DSA介入治疗)
青岛西海岸新区中医医院
医学影像科介入诊疗室
以介入技术为“武器”
突破传统治疗局限
提供前沿、优质的解决方案!
就诊地址
青岛西海岸新区中医医院
(海南岛路158号)
健康热线
介入诊疗室
0532-68974171
- 上一篇: 青岛市海慈中医医疗集团举办2025年“5·12”国际护士节庆祝大会
- 下一篇: 没有了




