颅内动脉瘤其实是一种常见病
具有高患病率
高达1-8%
同时具有高致残率和高死亡率
在公众新闻中
也经常能发现一些动脉瘤病患
电影《本能》的主角莎朗·斯通
曾因头脑底部动脉破裂导致的蛛网膜下腔出血中风而住院
《权利的游戏》主角龙妈的扮演者克拉克
曾经历两次脑出血
在这些名人的生病的背后
隐藏着一个低调而凶恶的杀手
——脑动脉瘤
为何会突然被脑动脉瘤击倒?
这病到底有多凶险?
什么是脑动脉瘤?
且听我慢慢道来!
该病第一次破裂,死亡率达30%-50%,一般简单来说三分之一死掉、三分之一残疾、三分之一康复,如果不接受手术治疗,发生第二次破裂时死亡率达到60%-90%!所以颅内动脉瘤就像是埋藏在人脑中的一颗“不定时炸弹”,随时都有爆炸的危险,一旦引爆,后果不堪设想。
颅内动脉瘤
是颅内动脉血管由于先天异常或后天损伤等因素导致局部的血管壁的异常膨出或膨大,它类似于轮胎“鼓胎”一样,动脉瘤破裂就像轮胎爆胎一样;它不是脑瘤或者脑癌,不会转移也不会恶变,但是会破裂导致出血,情绪激动、血压忽然升高、用力排便、妊娠晚期、分娩、体力劳动、性生活、剧烈运动等都是动脉瘤破裂的诱发因素。
动脉瘤破裂导致脑组织表面广泛蛛网膜下腔出血
颅内动脉瘤如果体积较小,没有破裂,通常不会有明显症状;如果体积较大,可能会压迫周围的血管、神经,造成脑缺血症状和神经压迫症状,比如头痛、头晕、眼睑下垂、视物模糊、半侧脸麻木等。
当颅内动脉瘤破裂时,患者常常发生突然性的头痛(头部炸裂样疼痛,感觉这辈子最疼的头疼)、颈部僵直、恶心呕吐、视物模糊、畏光、失去意识甚至休克,如果就医不及时,就会出现生命危险。
既然这个病这么严重,
那有没有办法提前发现?
答案是有!
其实颅内动脉瘤可以通过脑血管CTA(CT血管造影)、MRA(核磁共振血管成像)和DSA(数字剪影血管造影术)等血管成像技术来发现,尤其是DSA检查,它是动脉瘤确诊的金标准。虽然DSA是动脉瘤确诊的金标准,但是CTA和MRA是无创性检查,作为筛查手段更为合理,CTA对于直径10mm以上的动脉瘤敏感率达100%,直径4-9mm敏感率93%,3mm以下敏感率61%;MRA血管成像敏感率略低,增强MRA更佳,而DSA的敏感性最高。
如果头颅CTA/MRA有疑问,可以考虑行全脑DSA术,以确定诊断。三维脑血管造影(3D-DSA)是脑血管病精准诊断的金标准,但DSA一般不用于体检,而用于最后的确诊和介入治疗。
那么问题又来了,
如果发现了动脉瘤必须要治疗吗?
治疗的话怎么治疗?
下面咱们就一个一个回答。
No.1如果发现了颅内动脉瘤并不一定都需要治疗,各位看官抬起头来,下面划重点了!
直径5mm以上的、形态不规则的、大脑中线附近的、多发的、进行性增大的、既往破裂病史的、有临床症状的、发现动脉瘤后引起严重心理负担的,需要积极治疗,记住了吗?
如果没记住,那可以记下面不需要治疗的:单发的、5mm以下的、形态规则的、无症状动脉瘤不需要治疗!这个是不是简单易记啊?!
No.2怎么治疗?在回答这个问题之前必须要特别强调一下,无手术指征的动脉瘤除了定期复查外不需要任何药物治疗,不要相信所谓的偏方和祖传秘方什么的,都是骗钱的!
好了,言归正传,针对动脉瘤的手术治疗方式主要有两种,开颅夹闭手术和介入栓塞。
开颅手术是打开颅骨暴露脑组织,显露动脉瘤,然后用一种特制的夹子夹闭瘤颈,这样脑血管中的血流就不会再进入动脉瘤,从而达到治疗目的。
介入栓塞是在患者大腿根部股动脉位置穿刺血管,将很细的导管经股动脉放到颅内动脉瘤内,往动脉瘤内填入弹簧圈(白金做的超级柔软的金属丝)阻止血流进入动脉瘤内,从而闭塞动脉瘤,同样达到治疗效果,防止出血。开颅夹闭和介入栓塞各有优缺点,80-90%的病人两种方式可以自由选择,只有少数病人只能选择开颅或介入。
两种手术简单对比见下表
光说不练假把式!超强的说服力来自于真实的病例,下面就来看看我院神经内科脑卒中中心介入团队近期做的两例典型病例,一例是中年男性,破裂动脉瘤,一例是老年女性,未破裂动脉瘤。
有图有真相
第一例是破裂动脉瘤,45岁的沈先生因突发头痛呕吐一天入院,入院时血压:155/104mmHg。神经系统检查:嗜睡状态,双侧瞳孔3.0mm,光反应灵敏,无复视,额纹对称,双侧鼻唇沟对称,伸舌居中,克尼格(Kernig征)征、布鲁氏征(Brudzinski)阳性,颈项强直。四肢肌力5-级,肌张力正常,双侧巴氏征未引出。无感觉障碍。Hunt-Hess分级3级,改良Fisher2级,GCS14分。
既往1年前有胃出血,胃溃疡病史,个人史:抽烟20余年,每日一包,少量饮酒。父母无脑出血病史。
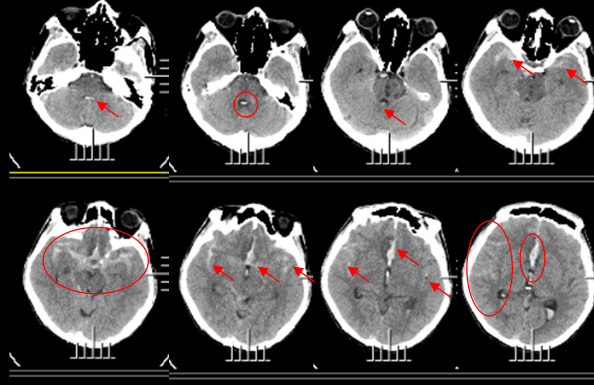
门诊头部CT显示双侧半球广泛蛛网膜下腔出血,进一步核磁检查显示:右侧大脑前动脉A2段动脉瘤,形态不规则。
初步诊断:1.脑动脉瘤破裂伴蛛网膜下腔出血。
入院头颅CT显示双侧蛛网膜下腔、纵裂、基底池脑室广泛出血
术后一周患者恢复良好,两周出院。
第二例是未破裂动脉瘤,72岁老年女性,脑梗塞入院,入院后行头颅核磁显示右侧大脑前动脉,胼周动脉及胼缘动脉分叉处可疑动脉瘤,后行DSA检查确诊为大脑前动脉,胼周动脉及胼缘动脉分叉处动脉瘤,大小约5mm×4mm×3mm,经与家属沟通决定行介入栓塞治疗。
MRA检查大脑前动脉可疑动脉瘤
术中DSA造影右侧胼周动脉及胼缘动脉分叉处瘤,大小约5mm×4mm×3mm。
介入栓塞术后造影动脉瘤完全不显影
术后第三天患者下地行走,一周后出院。
通过上面两个病例
大家肯定明白了动脉瘤并不可怕
诊断及治疗技术非常成熟
只要早发现早治疗
预后都是比较好的
介入诊疗室副主任张兴超提醒大家
动脉瘤好发于中年人(30-60岁),女性略高于男性(1.34∶1),有一定家族遗传倾向,而且发病率仅次于脑梗死及高血压脑出血,排在脑血管病第三位,因此人到中年以后要注意查体,每3~5年记得做个头颈CTA或头颅MRA检查,以排除颅内的潜在病变,但是这项检查并不是一劳永逸的,随着年龄的增长,动脉瘤患病率增加,一次筛查未发现动脉瘤不代表此后不发生动脉瘤。
如有突发的剧烈头疼
请抓紧就医
神经内科脑卒中中心
自2016年成立以来,在院领导关心及李雪梅主任带领下率先在西海岸地区开展脑血管造影及急性脑梗死急诊取栓治疗,2017年在北京天坛医院专家技术帮助下开展动脉瘤介入治疗,已为数十位病人解除病患,目前脑卒中中心已能独立开展动脉瘤介入治疗,成为青岛市为数不多的几家能独立开展脑血管病全方位治疗(脑梗死急诊取栓、动脉瘤破裂急诊介入栓塞等)的脑血管救治中心,为西海岸地区百姓健康事业保驾护航!
神经内科咨询电话:86977105、86977048
张兴超
介入诊疗室副主任
兰州大学神经外科硕士研究生,曾先后在天津武警脑科医院及北京天坛医院进修脑血管介入。擅长脑血管介入治疗,尤其是大血管闭塞引起的急性脑梗死及动脉瘤性蛛网膜下腔出血的介入治疗,2017年率先在西海岸地区开展急性脑梗死取栓治疗填补西海岸地区急性脑梗死取栓治疗空白,每年开展脑血管造影/颈动脉狭窄、椎动脉狭窄、颅内血管狭窄、急性脑梗死、急性动脉瘤破裂的介入治疗150余例。
专业擅长:脑血管病的介入治疗,能独立完成脑血管造影、急性脑梗死的动脉溶栓及动脉取栓、颈动脉支架、椎动脉支架、动脉瘤栓塞术。
- 上一篇: 青岛市第三人民医院:【药师说药】“除幽幽”保胃战(3)——战术答疑
- 下一篇: 没有了




