
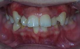
正畸前

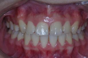
正畸后

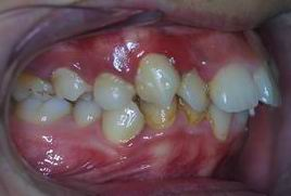
正畸前

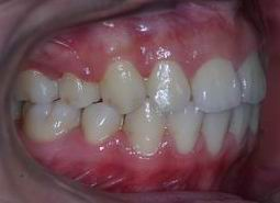
正畸后
暑假将近,学生们在欢度悠长假期的同时,家长又像往年一样给孩子们忙碌着联系牙齿矫正的事宜。据记者了解到每年暑假各大医院正畸科前来咨询与矫正牙齿的学生特别多,为此记者专门采访青岛市口腔医院正畸科副主任医师、北京大学口腔正畸学博士、青岛大学医学院硕士生导师宋宇副教授。
据宋博士介绍,随着人类进化与饮食习惯的变化,现今社会牙齿错颌畸形的发病率非常高,家长与孩子逐渐意识到良好的牙齿美观对将来的升学、求职、择偶非常有帮助。虽然青春期学生学习繁重,但是在青春期进行牙齿矫正则可利用患者生长发育的潜力达到事半功倍的效果,而且患者只要配合良好,一般仅4-6周左右复诊一次,所以根本不会太影响孩子的学习。青春期进行牙齿矫正(俗称“整牙”),对改善面部美观,恢复口腔正常功能是十分必要的。宋博士提醒,由于牙齿矫正技术要求很高,需要丰富的临床经验与正规的技能培训,故家长与患者选择就诊地点与就诊医生应当慎重。同时在牙齿矫正方式的选择上,正畸医生应根据患者牙齿畸形的类型与程度,制定个性化的诊治方案和选择合适的矫正器与矫正技术,这对医生的要求非常高。
宋博士说,高考刚刚结束,现在到医院整牙的孩子主要是这个人群,到7月份学生们都放假了,会出现扎堆就诊的现象,提醒考完试的孩子要趁这个空档,抓紧到医院就诊。作为一名初诊患者到正规正畸治疗机构就诊时应按以下程序进行:挂号选择就诊医生;医生检查与医患沟通(患者想解决哪方面问题?医生根据自己的经验给出初步的诊断与治疗方案);血液乙肝检查(这对防止患者间交叉感染非常必要);拍摄X片与制取石膏模型(这对最终治疗方案的确诊非常重要);颌面部照相;医生预约下次复诊时间来与患者沟通最终的治疗方案;是否拔牙(患者应尽量听取医生的建议。临床上2/3左右患者均需要拔牙矫正。这需要主治医生具有丰富经验);拔牙一周左右后戴矫治器;以后每4-6周复诊一次;矫正结束去除固定矫正器,戴保持器。宋宇博士指出错颌畸形作为口腔三大常见疾病之一(其余两项为龋齿与牙周病),其矫正过程即具有一定的程序性,同时也具有一定的个体化差异。往往需要多学科,治疗团队共同制定治疗计划与治疗策略。
当今社会个人更加重视其自身形象与健康,故越来越多的成年人也在寻求牙齿矫正治疗。对任何年龄的人,拥有怡人的微笑、整齐洁白的牙齿能使你自信倍增,心情舒畅。
在市口腔医院正畸科记者恰好遇到一位刚刚结束高考的正畸患者小蔡,经过一年半的时间,小蔡的牙齿已经完成矫正,摘下牙套,看着自己整齐的牙齿,他带着满意自信的笑容,向记者道出了他的整牙历程,“我以前的牙齿不仅不齐而且前突,特别两个大门牙跟兔子似的。同学们给我起外号叫“兔子”。此后的日子里,我的外号代替了我的真名,这使我内心非常自卑,老感到别人用异样的目光看我,我从一个活泼爱笑的男孩,变成了一个见到别人就低着头,不敢说话不敢笑,偶尔笑的时候也用手捂着嘴,生怕别人看见我这口兔牙。我开始变得自卑,不爱交往。后来,我看到邻班的一个同学牙齿特别好看,之前还是一口钢牙。我想是不是我也可以通过整牙是我摆脱这一绰号。于是我来到青岛市口腔医院,来到了这个改变我一生的地方。我怀揣着一颗不安的心走进了青岛市口腔医院的四楼正畸科。我就在这一年半的时光里,随着我的牙齿渐渐的变得整齐,我的自信,我的阳光都回来了。听了蔡同学从内心自然流露自信的述说,记者也被其自信情绪所感染。看来牙齿矫正不仅改善了患者的美观,而且还提高了患者的自信心。
宋宇博士说,青岛市口腔医院作为岛城唯一口腔专科医院,兼顾公益性与社会责任,其正畸科在学科带头人于艳玲教授带领下,拥有硕士生导师3名,知名院校医学博士3人,医学硕士3人,人员配置合理,博士团队最强,资深主治医师团队经验丰富,常年与北京大学口腔医学院正畸科进行业务往来与技术交流与学习,引进国内外先进的矫正技术与设备,在岛城口腔正畸界处于领先地位。
专业正畸医生治疗正畸专业问题!
- 上一篇: 海慈医疗集团启用“门诊综合服务中心”方便患者就医
- 下一篇: 没有了



