反复腹痛、恶心呕吐
甚至大腿内侧莫名疼痛、鼓包
……
当这些症状出现时,您可能想不到
背后竟隐藏着一种极易漏诊的
罕见疝——闭孔疝
近日,青岛西海岸新区中医医院外一科团队通过一台腹腔镜微创手术,为一位老年患者解除了罕见的闭孔疝疾患,患者术后2日平安出院!

案例
“危险陷阱”隐藏身体深处
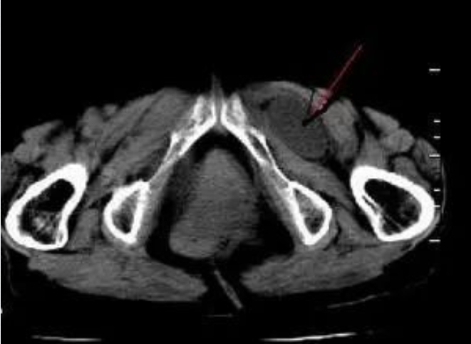
72岁的李奶奶半年来反复出现左侧大腿根部鼓包并疼痛,时常腹痛、腹胀、恶心,多次就诊未能确诊及根治。2025年2月19日,李奶奶因以上症状到外一科韩传学主任门诊就诊,CT检查发现左侧耻骨结节下方外侧有腹腔内容物疝出,局部卡压,考虑左侧闭孔疝可能。
实力
3个小孔1小时解决难题
经多学科综合评估,翌日,外一科团队在韩传学主任的指导下采用腹腔镜下闭孔疝无张力修补术为李奶奶解决病痛。
李佳主治医师、薛晓添住院医师仅通过3个0.5cm的小孔,为患者还纳嵌顿小肠系膜,在腔镜下缝合关闭闭孔缺损,放置补片加固薄弱区域,顺利完成手术仅耗时1小时。术后李奶奶大腿根部疼痛完全消失,第2天即可自主进食及下床行走。
特色
腹腔镜微创手术的四大优势
1. 精准“排雷”:高清镜头放大视野,避免损伤闭孔神经血管。
2. 快速恢复:无需开腹,术后次日即可活动,降低卧床并发症。
3. 复发率低:无张力补片修补,复发率<2%(传统手术复发率约4-5%)。
4. 兼顾探查:可同时处理双侧隐匿疝或腹腔其他病变。
韩传学主任表示,闭孔疝早期诊断是关键!若高龄、消瘦女性出现不明原因肠梗阻或大腿内侧疼痛,需警惕闭孔疝可能。外一科团队提供“快速康复(ERAS)”服务,疼痛管理、早期进食、康复指导全程护航。患者需术后1个月、3个月复查,确保补片融合无异常。
科普
专家详细解析闭孔疝
闭孔(Obturator canal)是人体最大的骨性孔,大部分被腱性闭孔膜覆盖,仅在闭孔膜外上缘与耻骨上支之间有一裂隙称闭孔管。闭孔管位于闭孔的上方,其内走行闭孔动静脉、闭孔神经,是长度约2~3cm,宽度约0.2~0.5cm的真性管道。腹内脏器经闭孔管突出的疝称闭孔疝,因闭孔管管壁由骨质和坚韧的腱膜以及肌肉边缘组成,几无伸展性,故闭孔疝极易发生嵌顿和绞窄。(Obturator Hernia)。

闭孔疝仅占腹外疝的0.05%-1%,极为罕见,多发生于瘦弱老年女性,症状与肠梗阻相似,但常伴特征性大腿内侧放射痛(Howship-Romberg征)。一旦嵌顿,肠管坏死风险高达80%,需紧急手术!
青岛西海岸新区中医医院
外一科
已成熟开展腹腔镜疝修补技术
针对复杂疝、复发疝建立个性化方案
让患者“小孔治大病,少受苦、早康复”
每一个小孔
都是为生命打开的“希望之窗”
外一科团队将继续以微创技术为基础
以患者需求为己任
守护每一份托付!
医师简介
韩传学,副主任医师,青岛西海岸新区中医医院外一科主任,青岛市西海岸新区最美健康卫士。
擅长腹腔镜下胃肠道肿瘤手术、腹腔镜下腹壁疝修补术、腹腔镜下胆囊切除术、乳腺肿瘤微创旋切术、乳腺及甲状腺良恶性肿瘤手术等,多项腹腔镜手术填补医院技术空白。
山东省中西医肝胆外科专业专委会委员,山东省中医药学会急腹症专委会委员,山东省患者安全管理协会血管外科专委会委员,山东卫生人力胰腺腹膜后专委会委员;青岛市老年医学会腹部肿瘤外科委员会副主任委员,青岛市老年医学会肝胆胰外科委员会常务委员,青岛市医学会乳腺病专委会委员,青岛市老年医学会甲状腺外科专委会委员,青岛市老年医学会周围血管外科专委会委员。
李佳,青岛西海岸新区中医医院外一科主治医师
青岛市老年医学学会腹部肿瘤专业委员
擅长急腹症诊治、消化道肿瘤规范诊疗、腹壁疝微创手术及乳腺、甲状腺肿瘤的诊治。
薛晓添,青岛西海岸新区中医医院外一科住院医师,山东省疼痛医学会基层医疗工作委员会委员,毕业后一直从事普外科专业临床工作,熟练掌握胃肠、乳腺、甲状腺及各种腹壁疝疾病的诊治。
外一科联系电话
0532-86860206
- 上一篇: 话春分·学养生|领略琅琊文化与中医药文化融合,仲春养生讲究“以和为贵”
- 下一篇: 没有了




