我院规范开展新技术、新项目,进一步提升医院的医疗技术水平,更好的服务患者。
【结直肠息肉】
是常见的消化道疾病,结直肠息肉特别是腺瘤会缓慢进展,发生上皮内瘤变,部分会进展为结肠癌。行结肠镜筛查发现结直肠息肉并行内镜下切除是有效降低结肠癌发病率及死亡率的手段。
.png)
直肠息肉
微小及小息肉是结肠镜检最常见的息肉。我院在省内较早开展内镜下结直肠息肉冷切除术,该技术的适应证是结直肠小息肉及微小息肉,对于大小为1-3mm的微小息肉用活检钳直接钳除,对于大小为4-9mm的无蒂息肉应用圈套器勒除。
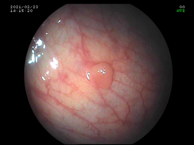
.png)
圈套器切除息肉
【与传统治疗方法的区别】
内镜下结直肠息肉冷切除术同目前主流的电切除术最大的区别是冷切除,不应用高频电,故可有效避免高频电相关的电损伤、迟发性穿孔、迟发性出血等并发症。而且冷切除术简单高效,使用器械较少,基本使用一把圈套器就可完成内镜下息肉切除术,而目前主流的内镜下电切除术需要用内镜注射针、热活检钳,往往还需要钛夹夹闭创面,相比较冷切除术不但操作时间短,可有效减少医用耗材的支出,而且术后并发症低。因此,内镜下结直肠息肉冷切除术可以广泛地用于结肠息肉筛查,有助于降低结肠癌的发病率,造福于广大患者。
【小结】
目前我院内镜室常规开展内镜下结直肠息肉冷切除术及电切术、内镜下止血术、内镜下取异物、内镜下粘膜切除术(EMR)及粘膜剥离术(ESD)治疗消化道早癌,内镜下粘膜下肿瘤挖除术(ESE),内镜下消化道支架置入术,经内镜逆行阑尾炎治疗术(ERAT)等消化内镜微创治疗技术。
欢迎大家咨询预约,电话0532-82612781。
标签:五医 结直肠息肉 结直肠息肉冷切除术
- 上一篇: 【青岛六医•健康在线】节目预告|酒杯中的隐患
- 下一篇: 没有了




