
IABP,即主动脉内球囊反搏(Intra-aortic balloon pump简称:IABP),是最早以氧供氧耗理论为基础的辅助循环方式。通过增加冠状动脉灌注量来改善心肌氧供给,降低主动脉收缩压(后负荷),从而减低心脏做功,改善那些心功能受损患者的前向性血流,提高心排血量,目前已广泛应用于高危PCI患者的循环支持。

近日,我院心内科暨平度市胸痛中心成功抢救大面积心肌梗死1例。此项技术代表着心梗救治领域的先进水平,标志着我院心内科危重病历抢救水平跃上新台阶。

滕大叔,63岁,既往有“高血压”病史10余年,有“脑梗死”病史9年,遗留左侧肢体轻微活动不灵。滕大叔于2019年因急性心肌梗死在我院住院期间行冠状动脉造影术+支架植入术。术后规律服药,病情相对稳定。
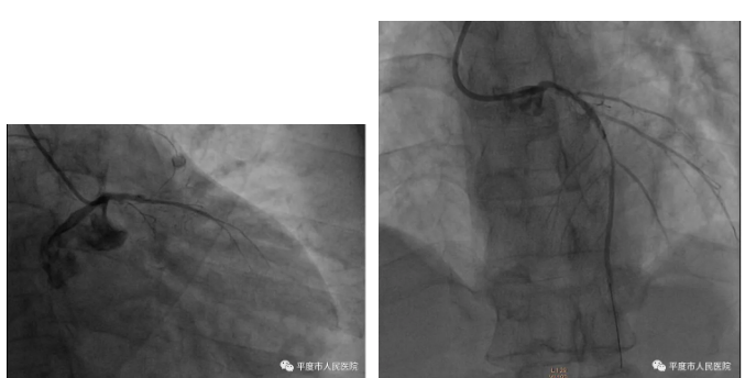
近日滕大叔又因左右再发胸痛,胸骨后闷痛,伴恶心、呕吐,呕吐物为胃内容物,伴出汗,持续不缓解,遂至我院急诊,我院心内科张少君主治医师接诊患者后反复复查3次心电图均为大致正常,但通过详细查体及询问病史及体格检查,初步考虑患者为“心源性高危胸痛”可能,建议患者急诊行冠脉造影,征患者及家属同意后入导管室直接开始手术,冠脉造影见左主干正常;左前降支、回旋支近端闭塞,右冠状动脉后三叉可见85%狭窄,此时患者随着病情的加重血压进行性下降,最低可至80/40mmHg。

面对这样的造影结果,我们同时为患者捏了一把汗,两根大血管闭塞,仅剩的第三根血管还有重度狭窄,患者生命命悬一线,死亡率90%以上,患者目前生命体征不稳定,继续介入手术也是极高风险。手术医师当机立断,给予患者IABP支持下行介入治疗,功夫不负有心人,在大家的共同努力下,患者顺利的完成了手术,前降支血流完美恢复,患者顺利的闯过了一关,但作为医生我们丝毫不敢放松警惕,我们明白等待我们的是再灌注心律失常关口、休克关口、心衰关口,丝毫的放松都可能前功尽弃。幸亏患者有IABP的支持,术后患者入住我科CCU,专职护士每天密切监测生命体征,最终在大家的共同努力下,过五关、斩六将,术后第5天患者各项指标平稳,顺利拔除IABP。

相关链接
平度市人民医院心内科为山东省县域临床重点专科、青岛市C类重点学科,医院是国家级胸痛中心,还是国家房颤中心、心衰中心建设单位,全国心血管疾病管理能力评估与提升工程(CDQI)五大中心建设单位。科室现开放床位77张,CCU病床4张。年门诊量60000余人次;年住院患者达4600余人次;年手术量1300余人次:冠状动脉血管造影及PCI术1200余人次,永久心脏起搏器安装及射濒消融术100余例,其它还能开展主动脉夹层及主动脉瘤、先天性心脏病及心脏瓣膜病介入治疗等,在山东省同级医院均处于领先水平。


- 上一篇: 平度市人民医院:【医说健康】都是“多生牙”惹的祸
- 下一篇: 没有了




