27岁年轻女孩
双肺有一铅球大小的肿瘤
辗转求医就诊未果
直到她当来到了
青岛西海岸新区中医医院外二科
……
外二科医护团队
用精湛的技术成功抢回年轻生命!
完成了
胸腔镜辅助下
双肺巨大肿瘤切除术
惊!
双肺巨大肿瘤危及生命!
27岁的张女士在外院就医检查时发现“双肺巨大占位”,被诊断为双肺巨大恶性肿瘤,辗转于青岛市多家医院就诊未果,病情也愈加严重。
大夫们都说我闺女病情重,手术风险大,可她才27岁,我们怎么能放弃啊!后经介绍来到青岛西海岸新区中医医院外二科,让我们燃起了新的希望!
奇!
有胸腔镜辅助,创伤小、恢复快!
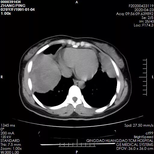
在家人的陪同下,张女士于5月初来到青岛西海岸新区中医医院外二科就诊。谢东副主任医师耐心询问病情,并为其仔细检查,通过CT检查发现右肺有一个铅球大小(10*12cm)的肿瘤,左肺有一6*5cm大小肿瘤。
术前胸部CT示:双肺巨大肿瘤
时间紧迫,刻不容缓!谢东副主任医师立即为张女士制定了周密的手术方案并进行了充分的术前准备,为其成功实施了胸腔镜辅助下巨大肿瘤切除术。
术后,张女士疼痛轻、恢复快,术后5天就康复出院了。
术中切除10*12cm肿瘤,形同铅球!
优!
胸腔镜手术有哪些好处?
1、创伤小
2、疼痛轻
3、恢复快
4、减轻术后应激反应
胸腔镜手术后切口3-4cm
传统肺癌手术需切断胸背部多层肌肉,创伤大、出血多、时间长,术后患者往往会出现“冰冻肩”等后遗症。而且一些年龄大、肺功能差的患者由于无法耐受手术,往往会失去手术机会......相比之下,胸腔镜手术优势显著!
精!
胸腔镜的适应症
目前,西海岸新区中医医院外二科已广泛开展胸腔镜下肺癌根治术(肺叶切除、解剖性肺段切除)、肺大泡切除术、食管癌根治术,胸腹腔镜联合三切口食管癌根治术等。科室实现80%以上的肺部肿瘤及食管肿瘤在胸腔镜下完成,极大减轻了患者术后疼痛,缩短了康复周期。尤其是肺部小结节患者受益最大。
术前精准定位
重点提醒!
关注“肺部小结节”
“肺部小结节”也被称为肺结节,包括良性结节和恶性结节。恶性肺结节早期发现比较隐匿,如果不早期干预,其病程迅速、恶性度强、预后差。随着螺旋CT等设备在各级医院和体检中心的广泛应用,使越来越多的疾病得以早发现和早治疗。
建议肺癌高危人群每年进行CT检查,重点关注“肺结节”,做到早期发现,早期诊断,早期治疗。
注意!
哪些是肺癌高危人群?
肺癌高危人群定义为年龄≥40岁且具有以下任一危险因素者:
(1)吸烟≥20包年(或400年支),或曾经吸烟≥20包年(或400年支),戒烟时间<15年;
(2)有环境或高危职业暴露史(如石棉、铍、铀、氡等接触者);
(3)合并慢阻肺、弥漫性肺纤维化或既往有肺结核病史者;
(4)既往罹患恶性肿瘤或有肺癌家族史者。
专家简介
林乐胜,教授,主任医师,硕士研究生导师,青岛西海岸新区中医医院肺结节病门诊特聘专家,青岛大学附属医院胸外科原主任,1974年毕业于山东医学院医疗系,经过40年的胸外科临床实践,积累了丰富的临床工作经验。擅长各种类型的胸部疾病的外科治疗,对气管、隆凸、支气管切除成形术治疗肺部肿瘤等较少见且高难度的手术有丰富的经验,其中应用同种血管移植术治疗中心型肺癌为国内首创。一切口两肺病变一期手术以及肺减容手术治疗COPD开省内先河。经右胸一切口治疗中段食管癌填补青岛市空白。
谢东,副主任医师 ,青岛市医学会胸外科分会委员,青岛市抗癌协会胸部肿瘤委员会委员。从事胸外科工作二十余年,致力于胸外科疾病的诊断与治疗,专长于胸部肿瘤的手术治疗;擅长肺小结节的诊断,广泛开展胸腔镜解剖式肺叶、肺段切除术治疗早期肺癌。
外二科咨询电话:86855126
- 上一篇: 青岛市第三人民医院护士短视频作品展播
- 下一篇: 没有了




