能不能花最少的钱换取最好的治疗?
这是一位患者家属
面对医生时说的一句话
这句话貌似是在疑问
实则是一番无奈的请求
......
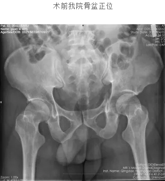
2020年3月28日,在青岛西海岸新区中心医院脊柱外科门诊,当天的值班医生是孙振刚,接近下班时,一位患者家属拿着放射片子来到诊室。孙振刚医生仔细查看患者的检查片子,详细询问患者情况......
三天前的深夜,患者W先生半夜不慎从三楼坠落,多发骨折、休克,病情危重。立即由外院急诊院前转至上级医院救治。抗休克治疗、完善检查明确诊断、因这位年轻小伙还患1型糖尿病,要泵胰岛素助其度过危险期。
3天后待其病情相对稳定,面临专科手术治疗时,高额的手术费让本不富裕的小伙子为难了。单身、早年父母双亡、只有一个患病姐姐远在外地,就连一直不离不弃,照顾他的发小也经济不景气,无力承担这后续的治疗费。现实将这一对从小在草原上长大的汉子彻底压垮。
当W先生的发小抱着试试看的心态,来到青岛西海岸新区中心医院脊柱外科门诊时,是来寻求最后的一线希望。
要求只有一个:少花钱治好病!
孙振刚医生听到患者发小提出的要求后,没有急着回答,而是仔细查看检查片,详细询问患者的情况后,拍了拍小伙子的肩膀,说:“我可以试试!我们一起努力!这个病虽然复杂,但我们一定尽力让花费最少,治疗效果最好!”
听到孙大夫的回答后,W先生当晚就被转入了中心医院骨科(脊柱外科)治疗。入院根据诊疗规范,给予骨盆兜固定,皮肤牵引,肋骨带固定。急查血糖很高,电解质紊乱,紧急联系专业科室会诊。孙大夫鼓励患者,要积极调整饮食,多吃高蛋白、低糖、低脂饮食,这样可以尽量少花钱,还能有助于纠正电解质紊乱,加快康复。提醒家属要勤给小伙子双下肢被动按摩,能预防深静脉血栓。孙大夫白天出门诊,晚上加班接诊患者,忙完一天回家已经晚上9点多了。
诊断:
1.骨盆骨折(左侧髂骨、耻骨上下支)
2.髋臼骨折(左侧)
3.多发腰椎骨折(L1椎弓根、L4椎体、L1、2左侧,L4、5双侧横突)
4.肋骨骨折(左11-12)
5.1型糖尿病
6.胸椎骨折(T11)
7.颅脑损伤
8.尿道损伤
9.电解质紊乱
10.中度贫血(失血性)
经过10天的综合调整,孙大夫着力控制血糖理想,病情平稳,一切本着“控制费用最低,钱花在刀刃上”的原则。王吉先主任主持术前讨论,统一思想:行骨盆、髋臼骨折治疗,行3块普通钛板复位固定骨折,力求达解剖复位。腰椎、、胸椎、肋骨骨折保守治疗。
全力以赴
2020年4月7日09:05-13:25
在全身麻醉下行骨盆骨折切开复位钛板内固定、左侧髋臼骨折后路切开复位钛板内固定术
手术者:孙振刚
助 手:王志刚、范金山、官旭林
手术顺利,术后安返病房。
术后消肿、抗生素、预防血栓等药物诊疗。积极换药,刀口无感染。术后3日复查X片及CT,内固定合适,骨折复位良好。
术后3天,患者病情稳定,可自行翻身。
小伙子非常感激,激动地说,“多谢孙大夫和骨科(脊柱外科)的全体医护人员的精心治疗,是你们帮助我度过难关,给了我继续生活下去的勇气。”
术后5天,患者符合出院标准,居家康复治疗。
骨科(脊柱外科)简介
科室医护人员23人,其中医师10人:主任医师1人,副主任医师1人,主治医师5人,住院医师3人;医师中硕士研究生7人(2人在读);护理人员12人:主任护师1人,主管护师2人,护师7人
科室专业特色
青岛市C类重点学科,以微创技术为特色。
①脊柱微创技术:老年性骨质疏松椎体压缩骨折经皮穿刺椎体成形术及后凸成形术;微创治疗腰椎间盘突出症、腰椎管狭窄症、颈椎病;
②运动医学微创技术:关节镜下半月板损伤修整及缝合技术,关节镜下韧带重建技术,关节镜下及小切口治疗肩袖损伤,冻结肩的手法松解,膝骨性关节炎的保膝治疗;
③创伤微创技术:老年髋部骨折的微创治疗,四肢骨折闭合髓内钉固定及微创钢板置入技术;骨盆骨折的微创治疗;经皮椎弓根钉棒置入术。
④脊柱疾病的常规及前沿手术:颈椎病的前后路手术,颈椎骨折脱位椎体次全切除减压固定;腰椎间盘突出症、腰椎管狭窄症的椎板减压间盘切除、Cage植入、后路椎弓根钉系统内固定。
科室服务咨询电话
脊柱外科门诊电话:86897714
脊柱外科病房电话:86882259
王吉先
骨科(脊柱外科)主任
从事临床工作30多年,先后在文登整骨医院、青岛大学医学院骨科、北京大学第三医院脊柱外科专业进修学习。师从全国著名骨科专家党耕町、胡有谷等教授学习。在中华外科等杂志上发表国家核心期刊论文9篇(其中1篇由SCI收录),出版骨科专著两部;获山东省科技进步二等奖一项、山东医学科技进步奖一项,青岛市科技进步三等奖一项、开发区科技进步奖二项;国家实用新型专利二项。开展脊柱手术上千例,特别在脊柱微创治疗腰椎间盘突出和老年骨质疏松合并脊柱骨折的微创治疗在青岛处于领先地位。
孙振刚
主治医师
医学硕士
2019年青岛市优秀青年人才
现任青岛医学会骨科分会脊柱微创组委员及秘书,骨科专科分会青年委员。2000年参加工作,进修骨科2年余,目前已发表论文13篇,其中SCI收录论文3篇(影响因子3.558+2.234+1.59),mendline收录2篇,中文北大核心期刊论文8篇。2019年获得山东医学科技奖三等奖(第一作),青岛市科学技术奖三等奖(第一作)。编写骨科论著4部,国家级专利6项。主持青岛市立项1项。进修:青岛大学附属市立医院骨二科13个月,中山大学附属第一医院脊柱外科,关节外科半年,南方医科大学第三附属医院(广东省骨科医院)微创脊柱外科3个月。擅长脊柱微创手术(腰腿痛、颈椎病、脊柱骨折)、四肢骨折微创手术,髋关节小切口置换、膝关节HTO等。
门诊:骨科(脊柱外科)周三全天
- 上一篇: 青岛西海岸新区中心医院:“肛”湖问道 | 今日武功秘籍:“一针治痔” 的神话
- 下一篇: 没有了




