防控疫情,隔离的是病毒,温暖的是人心。近日,在市人民医院急诊科的病房里上演了温馨的一幕——医护人员为患者徐大爷过生日,往年都是同所有家人一起,今年却在医院过了一个难忘的生日。


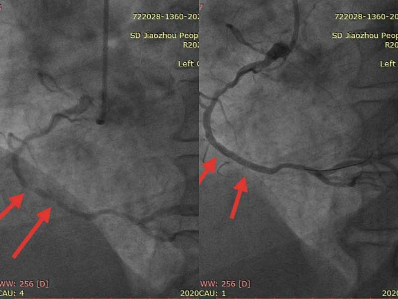
患者徐大爷夜间持续性胸痛急呼120,市人民医院院前急救出诊,通过车载心电图显示急性下壁ST段心肌梗死,出诊医师立即予以“心梗一包药”口服,并送达南院急诊科予以紧急救治,患者胸痛症状缓解,复查心电图ST段回落,收入急诊科病房。结合患者病情特点,经会诊后立即行冠脉造影术进一步检查血管情况,可见患者下壁中远段次全闭塞,予以支架植入,术后无不适症状,即将顺利康复出院。


徐大爷在病房住院治疗期间,根据要求病房实行封闭管理,只有一名家属在身边陪床,这天恰逢徐大爷生日,自己唠叨说:今年的生日没有办法过了。说者无意,听者有心,徐大爷唠叨的话恰好被护士刘晓聪听到,并偷偷给大爷定了一个蛋糕。随后全体医护人员,为徐大爷献上生日蛋糕、点亮生日蜡烛,让他知道在这里住院并不孤单,有那么多的医护人员守护着他、关心着他。蜡烛的微光照亮了每一张笑脸,徐大爷和家属既惊喜又感动,对大家说道“父母给了他第一次生命,市人民医院给了他第二次生命”。看着徐大爷笑逐颜开,大家都为老人感到高兴和欣慰。
市人民医院在不断提高医疗技术的同时,努力为每位患者提供一个温馨和谐的就医环境,真正为病人进行主动服务、感动服务、亲情化服务,将“以病人为中心,以质量为核心”的服务理念贯穿工作始终,让来到市人民医院的每位患者都感受到家一样的温馨与温暖,从而构建更加和谐的医患关系。
标签:胶州市人民医院 急诊科 胸痛
- 上一篇: 妇儿:医院举办国家自然科学基金申报专题讲座
- 下一篇: 没有了




