8月11日晚6时左右,市第三人民医院全院上下正在备战“利奇马”台风的当口,120紧急转运一名女性患者来我院急诊。据了解,患者4天前在外院行拇趾外翻修复手术,为躲避台风她提前出院回家。在家中按摩下肢时,突然出现呼吸困难,意识不清,呼之不应,伴上肢抽搐。急诊科韩燕臣医师接诊后,发现患者处于深昏迷状态,极度缺氧,生命体征不稳定,紧急组织神经科、超声科、ICU进行多学科会诊,结合床旁心脏超声、颅脑超声检查提示患者急性肺动脉栓塞合并脑栓塞的可能性大,死亡风险极高。时间就是生命,在全院上下加班值守备战台风的同时与死神的赛跑也拉开了帷幕。
床旁超声检查
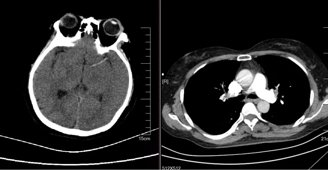
在与患者家属紧急沟通后,立即行CT下肺动脉造影及颅脑CT检查,结果印证了多学科会诊判断的准确性。
取出的血栓
为抢救病人,将其第一时间收入ICU密切监护,同时再次发起神经内科、神经外科、呼吸科、ICU多学科会诊,评估后紧急溶栓治疗,1小时后,患者意识转清,缺氧明显改善,生命体征稳定。说明肺栓塞溶栓成功,但患者肢体肌力恢复欠佳。神经外科会同神经内科慎重讨论后,为患者行脑血管造影,术中见左侧大脑中动脉近端闭塞,再次与家属沟通后,在全麻下行左侧大脑中动脉M1段取栓术,手术过程顺利,一次取栓成功。
肺栓塞合并脑栓塞
脑血管介入取栓前后影像
术后患者血流动力学稳定,自主呼吸良好,可遵医嘱动作,肢体肌力也得到恢复,复查心脏超声右心大、肺动脉高压、三尖瓣反流均较前显著改善。至此,在这个风雨交加的夜晚,医务人员众志成城,一场涉及120、急诊、ICU、神经科、脑外科、超声科、介入科、麻醉科、放射科、呼吸科众多学科参与的联合抢救最终取得成功,收获满意的效果。
青岛市第三人民医院以开展“不忘初心 牢记使命”主题教育为推手,全面抓好涉及医疗卫生领域的 “三个专项整治”和改善医疗服务 60 条措施等,立足岗位,实干担当,护卫百姓健康。
- 上一篇: 胶州市妇幼保健院订阅号:马上进末伏,三伏贴你“跟贴”了么?
- 下一篇: 没有了




