手术、化疗、放疗是肿瘤治疗中三种常见手段,介入治疗的出现,又为治疗恶性肿瘤增添了 “第四种武器”。介入治疗,患者无需开刀暴露病灶,通过几毫米的针孔或经人体原有的腔道,在影像设备的引导下,对肿瘤病灶进行治疗,使创伤最小并且能提高疗效。
取:首先明确诊断,用最小创伤获取病理标本。既往对于人体深部的肿瘤,如肺部、肝脏、腹腔等部位,往往需要开刀切取部分组织进行病理活检,对患者而言创伤较大。以最小的损伤,获得明确的病理,是最为理想的状态。通过介入方法,在CT引导下,将一根穿刺针经皮精准穿刺到达病变部位,切取少量组织进行病理检查。其伤口只是一个针眼大小,大大减轻了患者的创伤。
灌:高浓度化疗药物杀灭肿瘤,疗效好副作用小。在DSA引导下,将微导管插到肿瘤的供血动脉内,直接将化疗药物灌注在肿瘤病灶内,使肿瘤局部接受高浓度的化疗药物,延长药物与肿瘤接触时间,经过高浓度化疗药物的冲击杀伤作用,实现杀灭肿瘤细胞或抑制其生长的目的,同时降低机体其他部位组织细胞对化疗药物的毒性作用。
堵:切断“粮草”“饿死”肿瘤。肿瘤的生长依赖于供血血管提供的营养物质和氧气,一旦堵塞供血血管,失去了营养及氧气供给,肿瘤就会死亡。堵就是将导管插入肿瘤的营养动脉内后,通过导管注入栓塞剂(碘油、明胶海绵等)栓塞供养肿瘤的动脉,切断肿瘤生长的营养来源。这种方法与灌注化疗同时进行,两者的协同作用可使肿瘤灭活,使肿瘤失去营养供给,从而被“饿死”。 堵还可与外科相互配合。对体积较大的肿瘤,通过栓塞术阻断肿瘤动脉血供,可以减少术中出血,为外科手术切除铺平道路;可使肿瘤缩小,有助于提高手术切除率。
通:缓解癌变引起的腔道狭窄。人体内有很多自然的管道,如食管、胆管、气管、肠、血管等。这些部位长了肿瘤后,往往会导致堵塞或压迫,引起相应的临床症状。如食管癌会引起吃饭困难;胆管癌、胃癌、胰腺癌会堵塞、压迫胆管,胆汁排不出来,导致身体皮肤发黄,全身瘙痒等。这些症状都是因为相应的管道不通引起的。通过植入球囊,将受压迫的管道扩张或放置支架将管壁撑起来,可使不通的管道变得通畅,迅速缓解腔道狭窄的症状,改善患者的生活质量和体能状态,为进一步治疗赢得时机。
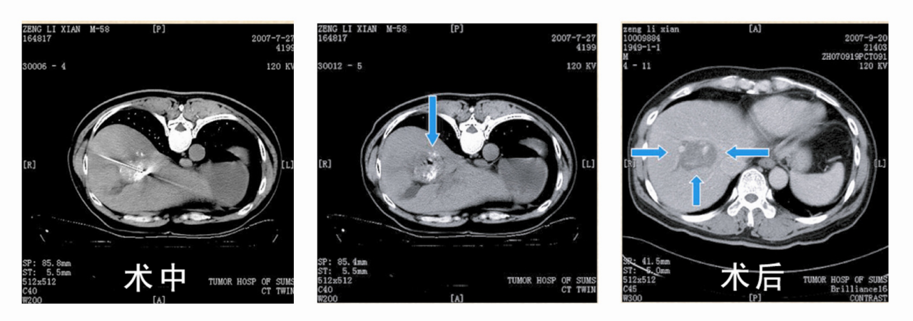
消:内部爆破粉碎肿瘤。消是经皮穿刺消融肿瘤。在影像设备的引导下,将治疗器械经皮穿刺精确定位在肿瘤上,通过化学或物理手段对肿瘤组织进行破坏,从而达到治疗肿瘤的目的。如经皮无水酒精消融:经皮向肿瘤内注射无水酒精,使肿瘤凝固性坏死;经皮射频消融:将射频电极针直接插入肿瘤内,通过裸露的电极针使其周围组织内正负离子在射频电场中产生高速振动和摩擦,继而转化为热能。其热能随时阊逐渐蓄积并向外周传导,从而使局部肿瘤组织发生热变性和凝固性坏死等。
.png)
患者:男,58岁,6月确诊为原发性肝癌,进行肝癌微波消融术后病灶基本消失
.png)
海慈医疗集团介入诊疗科医护团队
【就诊提示】
介入诊疗科(肿瘤微创介入治疗中心)咨询电话:83777303
病房位置:C楼2层;咨询电话:83772300/2600
- 上一篇: 海慈医疗:下肢严重缺血得及时就医 错过或将面临截肢
- 下一篇: 微笑服务,真情你我




