近日,平度市人民医院神经外科成功全切一例巨大脑膜瘤,经精心治疗,患者痊愈出院。
患者郭某某,因头痛、右侧肢体麻木数日,到青岛、潍坊多家医院就诊,诊断为左外侧裂脑膜瘤,需要手术治疗。但因肿瘤深达蝶骨嵴中外三分之一,瘤体巨大,血运丰富,毗邻重要功能区,与周围血管关系紧密,手术难度较大,术后极容易出现失语、偏瘫等后遗症,而且治疗费用较多。患者考虑再三,最终选择到我院神经外科进行手术治疗。
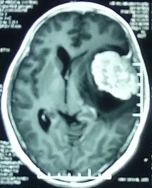
.jpg)
术前头部MRI显示为左外侧裂占位,血运丰富
神经外科荆友斌副主任医师、王志锁医师接诊后,对该患者高度重视,进行了详细的病史采集、查体及术前检查,全科进行了病例讨论和周密的术前准备,对术中、术后可能出现的意外及并发症做了充分的预防和应对预案。患者于2016年4月12日在全麻下进行了开颅手术治疗。术中见肿瘤组织大小约4cm×5cm×6.5cm,质硬,已侵犯累及硬脑膜,由颅内、外双重供血,血供丰富,回流静脉粗大。
荆友斌副主任医师、王志锁医师和手术团队密切协作,为患者进行手术。首先切断肿瘤的颅外供血来源,减少出血;再切除受累及的硬脑膜,沿肿瘤边界逐步分离,显露瘤体;分块切除肿瘤组织,逐步扩大手术操作空间;切断颅内供血血管及回流静脉,最终分块全部切除肿瘤组织;术中全程注意保护脑组织、大脑中动脉及主要分支。手术历经近4小时,顺利结束。术后患者症状明显减轻,无偏瘫、言语障碍等任何并发症发生,治愈出院,治疗费用还不到上级医院的一半。
.jpg)
该病例手术的成功彰显了我院神经外科技术水平和业务能力,现我院已正式成为山东省授牌的三级乙等医院,是我市唯一一家三级医院,医院等级的提升为医疗技术的巩固和发展创造了有利的条件,医疗技术必将迎来一个快速发展的阶段。今后平度的老百姓不必长途奔波,在家门口就可以享受到优质的医疗服务。
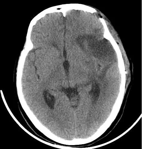
.jpg)
术后复查,显示肿瘤组织全部切除
- 上一篇: 青岛市第八人民医院:肺癌是“气”出来的病 防范关键要早诊早治
- 下一篇: 没有了



