近期,青岛市口腔医院成功引进椅旁CAD/CAM 3D数字化全瓷修复技术,填补了青岛市口腔数字化修复的技术空白,通过数字化技术,假牙也能“立等可取”,受到市民的好评和欢迎,短短两个月完成修复体54个,成功率达98%以上。
刚刚高中毕业的琳琳成为众多受益患者中的一位。学习成绩优异的她考取了法国的一所大学,近期就要准备出国,才想起到医院为已做过根管治疗的磨牙包牙套。得知常规的修复治疗通常需要1-2周的时间,琳琳犯了愁,王明臻主任根据她的实际情况为她推荐了椅旁CAD/CAM数字化全瓷修复,琳琳来院仅仅一个半小时就完成了所有治疗。咋着自己新装好的假牙,琳琳兴奋的说,“我看着自己的假牙一点点雕出来,真材实料,戴上没有一丝的不舒服,真是太神奇了。”
据悉,今年4月市口腔医院引进椅旁CAD/CAM数字化全瓷修复设备,经过2个月系统的培训和临床实验,现已全面并熟练开展椅旁CAD/CAM数字化全瓷修复技术的临床操作,并且取得了较好的临床效果。椅旁CAD/CAM数字化全瓷修复技术的顺利开展,使得“假牙也可以立等可取”,整个过程只需要1.5-2个小时即可完成,减少了患者的就诊次数,同时将为广大患者提供精度更高、更加美观舒适、生物性能更加优越的修复体。
据市口腔医院修复科王明臻主任介绍,椅旁CAD/CAM 3D数字化全瓷修复技术具有四方面优势:
1、立等可取,与传统修复体制作最大的不同是直接在口内采集光学印模,为预备好的牙齿采集3维的数字影像,电脑通过对所采集的数据进行计算直接设计出所需的修复体,通过无线连接的数控加工单元10-15分钟后即可加工出精致的全瓷修复体,操作简单快捷,使贴面、嵌体、全冠能够在一次治疗中制作完成,减少了患者的就诊次数
2、精度更高:不需要进行传统的口内取模、石膏模型灌注等制作,也不必进行临时义齿修复,更不需要等待技工室技师的制作完成(模型修整、蜡型制作、包埋、铸造、多遍烤瓷、打磨、抛光等),减少了义齿制作的中间环节,而是采用数字化印模,印模的准确度更高,假牙的完成是由电脑控制点研磨仪器直接完成,减少了传统修复的必然误差,因而使义齿完成的精度更高。
3、减少不适:因为采用数字化印模,使用高端的口内取像设备采集光学印模,不需要传统的口腔印模,所以减少了患者因取模引起的各种不适——紧张、恶心等反应。
4、更加美观、安全:选择的材料多为全瓷材料,美观度更高,牙龈边缘无黑线,无厚重感,无牙龈红肿出血现象,让你真正感觉到假牙是从你自己的牙龈里长出来的。
同时,王明臻主任指出缺牙患者进行CAD/CAM治疗有严格的适应症,市民可拨打市口腔医院修复科82821783电话咨询和预约。
附病例2例
病例一:某男性患者,因右上两颗前磨牙龋坏需要做充填(补牙)和冠修复(做牙套)。设计为第一前磨牙做冠修复,第二前磨牙做嵌体修复。

修复前

牙体预备完成

采集数字化印模(与口内完全一致)

计算机设计完成修复体

修复体制作完成后戴入口内颊侧观

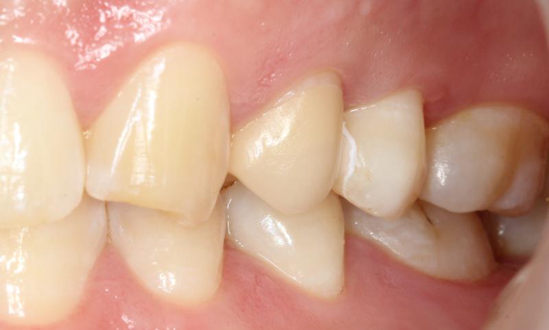
修复体制作完成后戴入口内颌面观
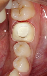
病例二:某女性患者,因左下第一磨牙行根管治疗(俗称杀神经)后需行冠修复,需短时间内出国,因此要求最短时间内完成修复,选择椅旁CAD/CAM数字化全瓷修复,来院一个半小时后完成所有治疗。

修复前

牙体预备完成

采集的数字印模

设置边缘线

设计完成修复体

修复体戴入

数字印模颊侧咬合像

设计完成的修复体颊侧咬合像

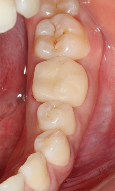
修复体戴入后颊侧咬合像
- 上一篇: 青岛市口腔医院口腔种植中心开诊
- 下一篇: 没有了



