疝,
俗称“疝气”、“小肠疝”,
是一种外科常见病,
临床上最常见的是腹股沟疝,
典型表现是“肚子下面鼓起个包”,
站立或者行走时鼓起来,
躺下休息的时候就消失了,
也正是因为发生部位较私密,
临床症状通常不严重,
所以导致很多患者不会及时就医。

腹股沟疝发生有两个因素
一是腹壁有个薄弱点,老百姓说“肚皮破了个洞”,老年人更多见;
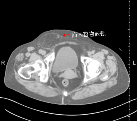
二是有导致腹压增大的原因,比如前列腺增生、长期便秘、慢性咳嗽等等,平时一般不会有太多不适感,如果发病时间长了则有局部或者下腹部坠痛感,严重者一旦发生嵌顿,会有剧烈疼痛。



对于2岁以内的幼儿,疝气有自愈可能,而对于成年人来说,疝气一旦发病,基本不会缩小,只会随时间推移越来越大,更不会自愈,手术是唯一的解决方案。
有些患者,尤其是女性患者羞于就医,导致疝越来越大,以致发展成为难复性疝,也就是始终鼓着包,怎么按摩都不能消失,自己不舒服,也增加了治疗难度。
小疝好补,老疝不仅手术难度大,术后并发症也多,也更容易复发,而一旦发生嵌顿,必须做急诊手术,甚至有肠坏死的风险,那就得不偿失了。



肖鹏医生:有些患者选择网购疝气带治疗,疝气带的确可以防止鼓包,对于年老体弱或不能耐受手术治疗的患者可先给予疝气带对症处理。但佩戴疝气带本身就不舒服,而且长期佩戴会增加局部的粘连,真到需要手术治疗的时候反倒会进一步增加难度,因此临床医生通常不会推荐疝气带。

手术是治疗疝气最直接、最有效的办法,目前常用的有无张力疝修补术和腹腔镜下疝修补术,具体选择哪种术式需要结合患者的具体情况来定。
随着腹腔镜技术的发展,现在越来越多的患者选择腹腔镜“微创”手术,微创也包括两种术式:
一种是经腹腔腹腔镜疝修补术(TAPP),在腹腔内切开腹膜,将疝囊拖回来,放置补片后再把腹膜缝起来,这种术式优点是适应症广,手术操作难度低,而且更容易发现隐匿型疝;
另一种是腹膜外腹腔镜疝修补术(TEP),不进腹腔,在腹膜外打通隧道,在隧道内还纳疝囊,放置补片,这种术式对腹腔内脏器的干扰最小,更符合人体工程学,术后恢复更快,但对于术者要求更高。
青岛西海岸新区中心医院消化中心胃结直肠外科疝与腹壁外科诊疗组10年前即开展TAPP及TEP等术式,近几年更是精研狭小空间下的组织分离技术及缝合技术,最大程度减少了术后血清肿及复发等并发症的几率。
上下滑动查看
↓↓↓

肖鹏医生:总之,对于“下面鼓个包”这件事,还是建议广大患者不要羞于就医,应该早诊早治,以免把一个小毛病拖成大事情,勿以“疝”小而不为,只要您需要,我们会做到尽“疝”尽美。
作者简介
肖鹏青岛西海岸新区中心医院消化中心胃结直肠外科副主任医师
门诊出诊时间:周三普通门诊、周六专家门诊
毕业于泰山医学院,曾在山东第一医科大学第二附属医院工作六年,2002年即开始接受腹腔镜技术及无张力疝修补术的培训,擅长胃肠道肿瘤、急腹症、胆道疾病、甲状腺疾病的外科诊治,尤精于疝与腹壁外科。2012年在青岛西海岸地区开展腹腔镜疝修补术,2018年在上海交通大学医学院附属瑞金医院微创外科进修学习疝外科及胃肠道肿瘤的腹腔镜治疗,积累了丰富的腹腔镜下消化道疾病的外科治疗经验及疝外科治疗经验,熟练运用各种术式治疗腹股沟疝、股疝、腹壁疝、食管裂孔疝,近年来成功开展西海岸地区第一例腰疝的后路腹腔镜完全腹膜外修补术(R-TEP术式),第一例腹腔镜下切口疝完全腹膜外修补术(TES术式),第一例腹腔镜下脐疝完全腹膜外修补术(TVS术式);开口小,创伤小,手术时间短,患者花费少,术后并发症几率低,复发率低。
- 上一篇: “影”“认”而解 | 乳腺癌影像筛查早知道
- 下一篇: 没有了




